Chapter 75
Retinoblastoma
JOHN D. ROARTY
Main Menu   Table Of Contents

Search

HISTORY
EPIDEMIOLOGY
GENETICS
RETINOBLASTOMA GENE PRODUCT
CLINICAL PRESENTATION
DIFFERENTIAL DIAGNOSIS
CLASSIFICATION
PATHOLOGY
PROGNOSIS
TREATMENT MODALITIES
CLINICAL MANAGEMENT
THE FUTURE
REFERENCES

HISTORY
Retinoblastoma was first described in 1765.1 Virchow2 identified the tumor as a “glioma of the retina” in 1864. In 1926, Verhoeff3 proposed a possible embryonic retinal origin.

Enucleation of the eye to save life was first proposed in 1809 by Wardrop.4 With improved surgical and anesthetic technique, enucleation is now the most common treatment modality.5 In 1903, Hilgartner6 successfully treated a retinoblastoma tumor with radiation, but this resulted in severe secondary ocular damage. Successful therapy with radiation followed with the refinements of Moore7 in the 1930s and Reese and colleagues8 and Stallard9 in the 1940s. In 1933, Moore successfully used interstitial radiation.

In 1953, Kupfer10 was the first to use chemotherapy to treat metastatic retinoblastoma. In the same year, Weve11 and Melchers12 reported on the use of diathermy. Because of the risk of penetration and dissemination, diathermy currently is not recommended.13 In 1959, Meyer-Schwickerwath14 reported on the use of xenon arc photocoagulation for retinoblastoma therapy.

Back to Top
EPIDEMIOLOGY
Retinoblastoma is the most common primary intraocular tumor in the pediatric age group.15 It represents 1%16 to 3%17 of all pediatric tumors. It is derived from retinal precursor cells.18 The incidence in the general population of the United States is in the range of 1 per 15,000 to 20,000 live births.19,20 In other countries, the range is 1 per 14,000 to 34,000 live births.15 The incidence in the United States is 10.6 per million between birth and 4 years of age, decreasing to 0.27 per million at 10 to 14 years of age.21 By 5 years of age, 90% of tumors have occurred; few adult cases are reported.15,18 Prenatal diagnosis has been achieved via ultrasound22 and amniotic genetic testing.23 No predilection based on sex, race, paternal age, or seasonal variation has been reported.24–26 Prenatal exposure to diagnostic irradiation does not increase the risk of retinoblastoma.27
Back to Top
GENETICS
A genetic component of this disease has been recognized since at least28: 60% of patients have a somatic mutation and 40% have a genomic mutation.3 Of new patients, 6% to 10% have positive family histories, and 90% to 94% present as sporadic cases. A patient with bilateral retinoblastoma carries a heritable mutation in the germline. Preferential paternal transmission of the retinoblastoma gene (RB1) occurs in some kindreds.29 This is transmitted with a penetrance of 90%.3 Of unilateral cases, up to 10% to 15% of unilateral retinoblastoma cases may be hereditary and transmitted in an autosomal-dominant fashion.30,31

Two mutations are required to inactivate two alleles of a single locus.32 Knudson20 performed a retrospective statistical analysis and plotted logarithmically the proportion of cases not yet diagnosed versus age for bilateral and unilateral retinoblastoma. The result was a straight line for bilateral retinoblastoma, which indicated a single random somatic event for tumor induction. The unilateral cases demonstrated a curve of second-order kinetics, indicating that two somatic events were required. With a mean of three tumors per person, Poisson distribution showed that the tumorinitiating events were random and independent. The chance of a somatic event occurring in at least one cell in one person is approximately 95%. The chance of a somatic mutation occurring in a particular cell is approximately 5 × 10-6. The chance of two events occurring in the same cell is the square of the probability of one event, or 2.5 × 10-11. Heritable retinoblastoma has one mutation in the germline at birth. Therefore, the tumor is transmitted in a highly penetrant autosomal-dominant fashion.

The RB1 locus was identified through cytogenetic deletions of chromosome 13 and linkage to esterase D.33 Approximately 5% of retinoblastoma patients demonstrate a karyotypic deletion in chromosome 13q14.2 RB1 was first cloned in 1986 by Friend and associates.34 The RB1 gene spans 200 kilobases of DNA.35 Germline mutations in bilateral retinoblastoma patients with positive family histories without deletions established the RB1 cDNA as the retinoblastoma gene.36 RB1 gene alterations have been described in small cell lung carcinoma,37 B-cell chronic lymphocytic leukemia,38 breast carcinoma,39 bladder carcinoma,40 glioblastoma,41 and adrenocortical carcinoma.42 Other sporadic chromosomal abnormalities reported in patients with retinoblastoma occur on chromosomes 1, 6,43 11,44 and 13.

Chromosome evaluation has played a role in prenatal diagnosis23 and assessment of other family members at risk.4 Genetic counseling includes risk assessment. The risk of retinoblastoma in offspring (0.4), twins (0.9), and siblings (0.04) of index bilateral cases warrants frequent clinical examinations or examinations under anesthesia (EUA).45

Back to Top
RETINOBLASTOMA GENE PRODUCT
RB1 encodes a nuclear phosphoprotein p110RB1 with a molecular weight of 105 to 110 kilodaltons.46 In the G1 phase of the cell cycle, the protein is hypophosphorylated; in S, G2, and M, it is hyperphosphorylated. Known functions of p110RB1 include inhibition of cell cycle progression, inhibition of cell proliferation by TGF-beta, interference with DNA replication, and suppression of tumorigenicity.46 Although the exact mechanism is unknown, the protein acts as a nuclear regulator of cell proliferation47 and differentiation.46 It has been shown to interfere with RNA polymerase I transcription factor.48
Back to Top
CLINICAL PRESENTATION
Ocular presentation of retinoblastoma may be unilateral (70%) or bilateral (30%). In the United States, the age of onset in bilateral disease is 13 months and in unilateral disease 25 months.15 With a positive family history, mean age of onset for bilateral and unilateral presentations is less than 12 months. The mean age of diagnosis is advanced in many other countries.49–51

With asynchronous bilateral retinoblastoma, tumor in the second eye occurs an average of 11 months, but in some reports as late as 4 to 5 years, after diagnosis of tumor in the first eye.52,53 Leukocoria (50% to 60%) and strabismus (18% to 22%) are the most common presentations (Fig. 1).15 Only 3% of patients are diagnosed during a routine pediatric examination. Unusual presentations include orbital cellulitis,54 neovascular glaucoma,55 pseudohypopyon,56 and hyphema.57,58

Fig. 1. Retinoblastoma presenting as leukocoria.

Trilateral retinoblastoma is a rare variant of bilateral disease, with additional tumor in the pineal gland first described in59 Rare pineal involvement in unilateral cases has been reported.60 The pineal gland arises from the neuroectoderm and has diurnal neurosecretory properties.61 This is consistent with its role as a photoreceptor organ in lower vertebrates.62 The incidence of trilateral disease has been reported in the range of 3%60 to 6%,63 but it is probably less than 1%. The pineal tumor may be present at diagnosis of retinoblastoma,60 or it may occur up to 8 years later.64 The intracranial tumor may present first. Ectopic intracranial locations have been reported.65 Most trilateral patients have a positive family history of hereditary retinoblastoma.64

Several tumor growth patterns occur in all retinoblastomas. Endophytic growth (61%) occurs when the tumor grows into the eye relative to the retina. Ophthalmoscopy shows that this tumor sits on the retina (Fig. 2). Exophytic growth (39%) occurs when the tumor grows toward the choroid relative to the retina. Presentation is subretinal.66 Exophytic growth is associated with glaucoma and choroidal invasion. Diffuse infiltration of retinoblastoma represents up to 2% of retinoblastoma cases.67 Retinoma is a benign or spontaneously regressed variant representing less than 2% of all retinoblastomas.68 Malignant transformation has been reported.69 Retinoma may represent a heritable mutation.70

Fig. 2. Localized retinal lesion.

Deletion of the long arm of chromosome 13 (the 13 q-deletion syndrome) may have systemic implications. The syndrome consists of microcephaly, broad nasal bridge, hypertelorism, microophthalmia, epicanthal folds, ptosis, micrognathia, short neck, low-set ears, anal abnormalities, and hypoplastic thumbs.71 Developmental delay and failure to thrive may occur. In these patients, evaluation of other chromosomal or infectious etiologies is important.72

Back to Top
DIFFERENTIAL DIAGNOSIS
Ocular abnormalities associated with leukocoria15 include retinoblastoma, persistent hyperplastic primary vitreous, Coats' disease, retinopathy of prematurity, cataracts, toxocariasis, chronic retinal detachment, retinal astrocytoma, previous vitreous hemorrhage,73 and endogenous endophthalmitis with calcification.74 Imaging studies to aid in the diagnosis include computed tomography (CT), magnetic resonance imaging (MRI), and B-scan ultrasonography.73,75,76 CT effectively identifies both intraocular calcification and intracranial involvement (Fig. 3). MRI may be more effective in distinguishing Coats' disease, persistent hyperplastic primary vitreous, and toxocariasis from retinoblastoma.73 Calcification may be seen with Coats' disease77 or in rare cases may be absent with retinoblastoma.78

Fig. 3. Computed tomographic scan of a bilateral calcified retinoblastoma.

Infrequently used diagnostic methods include aqueous lactate dehydrogenase activity and aspiration biopsy. The ratio of aqueous humor to serum lactate dehydrogenase is normal in at least 7% of retinoblastoma eyes.79 Aspiration cytology is a reliable tool for diagnosing extraocular retinoblastoma.80,81 Intraocular biopsy, however, carries a significant risk of extraocular spread along the needle tract.82 Other modalities reported include aqueous neuron-specific enolase,83 I123 metaiodobenzylguanidine scintigraphy,84 and proton magnetic resonance spectroscopy.85

Back to Top
CLASSIFICATION
Several tumor classification systems have been developed. The most commonly quoted one was proposed by Reese and Ellsworth (Table 1).15 The classification predicts the chance of globe salvage when treated with lateral port external beam radiation. The staging system considers tumor location and size. Other treatment modalities or levels of visual function are not considered. The Essen classification86 accounts for macular function and visual outcome. The St. Jude staging system considers extraocular extent and may be useful for determining prognosis. It considers retinal, extraretinal, extrachoroidal, and distant disease.87

 

TABLE 1. Reese-Ellsworth Classification


GroupDescription
IaSolitary tumor <4 dd; behind the equator
IbMultiple tumors <4 dd; behind the equator
IIaSolitary tumor 4–10 dd; behind the equator
IIbMultiple tumors 4–10 dd; behind the equator
IIIaAny lesion anterior to equator
IIIbSolitary tumor >10 dd; behind the equator
IVaMultiple tumors >10 dd
IVbAny lesion anterior to ora serrata
VaTumor involving >50% of the eye
VbVitreous seeding

dd = disc diameters.

 

Back to Top
PATHOLOGY
A retinoblastoma is an undifferentiated malignant neuroblastic tumor that can arise in any retinal layer.18 As mentioned earlier, its derivation from the retina was established by Verhoeff in3,88 The neuronal derivation was confirmed with the identification of retinal proteins in both welldifferentiated and poorly differentiated tumors.89 Nork and colleagues90 showed that the retinoblastoma cell is capable of photoreceptor and Müller's cell differentiation, but the rod photoreceptor is the ultimate cell of differentiation.

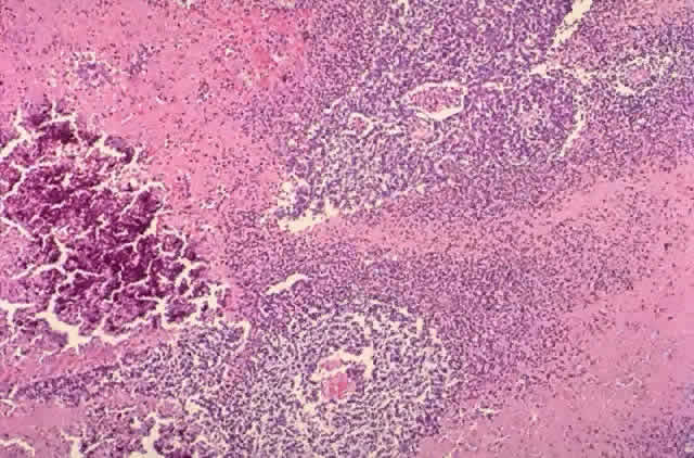
The cells tend to have large basophilic nuclei with little cytoplasm. Numerous mitoses and areas of necrosis with calcification are characteristic (Fig. 4). The rapidly growing tumor outstrips its blood supply. Cuffs of cells surround blood vessels. Viable cells may be found in the vitreous or subretinal space. Important pathologic findings affecting survival include extrascleral extension, choroidal invasion greater than 3 mm2, and optic nerve involvement.88

Fig. 4. Retinoblastoma (H & E, × 25)

Tumor rosettes were described by Flexner91 in 1881 and Wintersteiner92 in 1897. Multinucleated tumor cells probably represent regression.93 Flexner-Wintersteiner and Homer-Wright rosettes may be seen (Figs. 5 and 6). Flexner-Wintersteiner rosettes are lined with cuboidal cells that have terminal bars at the apical ends, creating a central lumen. These represent an attempt at retinal differentiation set in a field of undifferentiated cells. Homer-Wright rosettes are less characteristic of retinoblastoma. They are associated with medulloblastoma. The cells are arranged around a central tangle of cytoplasmic processes. “Fleurettes” represent a higher degree of maturation. The cells demonstrate evidence of photoreceptor differentiation in small, bouquet-like clusters (Fig. 7). Cell differentiation with fleurettes and FlexnerWintersteiner rosettes may have a better prognosis.52,94 The hereditary variant of retinoblastoma has been shown to be more highly differentiated.95

Fig. 5. Flexner-Wintersteiner rosettes (H & E, × 40).

Fig. 6. Homer-Wright rosette (H & E, × 100).

Fig. 7. Fleurette (H & E, × 125).

Back to Top
PROGNOSIS
Overall, the percentage of patients who are disease-free at 5 years after undergoing enucleation and external beam irradiation has been reported to be between 88%96 and 94%.97 Subsequent 10-year survival decreases in bilateral cases as a result of the development of second tumors.

Metastatic spread may be hematogenous, extrascleral, or via optic nerve extension and may occur in 5% to 10% of patients.51 Inadvertent iatrogenic local extension is well documented.98 When present, metastases are discovered at the time of diagnosis in 100% of unilateral cases and in 50% of bilateral cases. Within 5 years of diagnosis, 99% of all metastases have occurred.24 Optic nerve extension has been described in 29% of enucleated eyes.99,100 Metastatic risk is greatest in cases of postlaminar optic nerve extension. Associated clinical characteristics may include elevated intraocular pressure and choroidal extension.101 Associated pathologic characteristics may include choroidal extension, vitreous hemorrhage, an exophytic growth pattern, and a thickness greater than 15 mm.102 Reported mortality is 29% with tumor invasion to the lamina cribrosa sclerae, 42% with invasion posterior to the lamina cribrosa sclerae, and 78% with invasion to the cut end of the optic nerve.99 Orbital recurrence, found in 2.5% of patients in one series, carries a 66% to 94% mortality risk and a mean survival of 15 months.103,104

A patient's risk of development of a second neoplasm is temporally cumulative and is enhanced by his or her exposure to radiation in one's lifetime. The mean onset is 11 years after the diagnosis of bilateral retinoblastoma.105 The incidence at 30 years has been reported to be between 20%106 and 30%.107 Cyclophosphamide or other alkylating agents may also enhance the risk of second neoplasms.108 Bilateral retinoblastoma cases constitute 97% of cases of second neoplasms.105 In a study of bilateral retinoblastoma patients, the 30-year cumulative second tumor incidence was 29.3% within the field of therapeutic radiation, 8.1% outside the field of radiation, and 5.8% in nonirradiated patients.107 In rare cases, second tumors have been reported in patients with unilateral disease.109 The second tumor in these patients is most commonly an osteogenic sarcoma; however, other bone and soft tissue sarcomas, melanomas, epithelial malignancies, and hematologic malignancies have been described.107,110 Ellsworth111 recommended that radiation be avoided, if possible, in patients with germline mutations.

A predisposition to other cancers has also been demonstrated in first- and second-degree relatives of patients with bilateral disease or positive family histories. This was not found to be true for sporadic unilateral patients.112 Levels of fetal irradiation have not been associated with an increased risk of retinoblastoma.27

Patients with trilateral retinoblastoma present at a median age of 7 months. The incidence is reported to be as high as 6% of bilateral cases, and the mortality is very high.63 Few long-term survivors have been reported.113 Treatment has included a combination of chemotherapy, craniospinal irradiation, and intrathecal chemotherapy.63

Snellen visual acuities of 20/50 or better have been reported with treatment of tumors involving the macula114 as well as with radiation-induced cataracts.17 Visual field defects have been reported by some,115 but others have found no such defects.116

Back to Top
TREATMENT MODALITIES
The first goal is survival; maintenance of vision and salvage of the globe are important secondary goals. The high survival rate has been primarily due to the use of enucleation and external beam radiation. Alternative modalities may also allow for retention of the eye and visual acuity. Multiple treatment modalities have been described.

CRYOTHERAPY

Cryotherapy successfully treats tumors with a basal diameter of 2 to 3 disc diameters and a height of 2 mm, utilizing a triple-freeze technique that encases the tumor in ice.117 Complications include vitreous hemorrhage, choroidal effusions, and retinal detachment.

LASER

Xenon arc photocoagulation was first reported by Meyer-Schwickerwath.14 It has been found to be successful in treating tumors less than 3 disc diameters.118 Complications include vitreous hemorrhage and vitreous seeding. Histopathologic examination has demonstrated scleral thinning and viable tumor with choroidal invasion after treatment.119 Currently, the xenon arc photocoagulator has been replaced by argon and diode lasers. Treatment consists of one or two confluent rows surrounding the tumor; response to treatment is variable.120 Treatment of retinoblastoma with photoradiation and a hematoporphyrin derivative has been reported,121,122 but with severe side effects.123 Intraocular disease has been treated successfully with a combination of chemotherapy and hyperthermia, as provided with the diode laser.124

ENUCLEATION

The standard therapy for unilateral disease and for the more severely diseased eye in bilateral disease has been enucleation.13,125 With improved photocoagulation, cryotherapy, and radiotherapy, the rate of enucleation procedures has decreased from 96% in 1978 to 75% in 1988 in one center.126 Stated indications for enucleation are tumor filling greater than 50% of the eye, no view of the optic nerve secondary to tumor, no potential for vision, neovascular glaucoma, and treatment failures.126,127

IRRADIATION

External Beam

External beam radiation is considered if (1) the tumor is greater than 15 mm in size, (2) it is adjacent to the fovea or optic nerve, (3) there is vitreous seeding, or (4) there is multifocal presentation.125 Dosage is a total of 3500 to 4000 cGy over 4 to 5 weeks via lateral, anterior, or combined ports with proton beam irradiation. Irradiation in unilateral disease and simultaneous radiation in bilateral disease demonstrates survival similar to that of historic controls treated with enucleation.1,128–130 Snellen visual acuities of 6/12 or better have been reported with131,132 or without133 macular involvement. Visual prognosis depends on the location of the tumor and the type of therapy used.134 The following regression patterns have been described135:

  Heavy calcification (type I; most common [50%])
  No calcification (type II or “fish flesh”)
  Combination of types I and II (type III)
  Flat chorioretinal scars (type IV)

Complications of irradiation include cataracts, vitreous hemorrhage,133 radiation retinopathy, optic neuropathy,136 dental malformations,131 and compromised growth of the facial bones.137 The combination of radiation with enucleation most severely affects orbital growth.136 Orthovoltage therapy induces a more severe growth deficit than megavoltage.137 Tumor recurrence or new growth may occur in 7% to more than 50% of patients after irradiation.112,134,138,139 New tumor growth occurs within 12 to 26 months. No recurrence has been reported after 40 months from treatment or after 4 years of age.

Brachytherapy

Plaque radiotherapy has successfully treated intraocular140,141 and orbital142 disease. Indications include primary therapy for bilateral and unilateral disease, supplemental therapy, or recurrent disease.94,143 Radiation sources include cobalt 60, iridium 192, and ruthenium 106, but the preferred isotope is iodine 125.144 Cases involving intraocular tumors more than 16 mm in diameter, tumors more than 9 mm thick, and diffuse vitreous seeding are not treated easily.141 Plaques up to 20 mm, however, have been used successfully.144 A cure rate of 87% has been reported. Tumor regrowth or resistance has been reported in up to 13% of tumors treated with brachytherapy.

CHEMOTHERAPY

In vitro studies of retinoblastoma cell lines show poor chemosensitivity to standard agents.145,146 One reason for inadequate chemotherapy response may be acquired resistance to chemotherapy from gated ion channels.19 In vitro multidrug resistance has been correlated to a cell membrane-bound P-glycoprotein, an adenosine triphosphate-dependent drug efflux pump.147

Chemotherapy has been used primarily for metastatic disease. Various multidrug protocols, including cisplatin, Adriamycin, vincristine, and etoposide, have been suggested.49,148,149 Partial responses and relapses are common,150 although rare cases of survivors have been reported.151 Recent metastatic response with carboplatin and etoposide demonstrates an 85% response rate with a 2-year disease-free survival rate of 45.7%.152 Orbital or significant optic nerve extension is treated with chemotherapy in conjunction with radiation.103,125 Intracranial disease is often treated with intrathecal therapy.102,153

Chemotherapy alone has not been found to be superior to radiation in cases of extensive intraocular disease.49 Initial chemoreduction of large tumors has allowed subsequent local therapy.154 Localized intraocular disease has been treated successfully with a combination of chemotherapy and hyperthermia, as provided with the diode laser.124

Back to Top
CLINICAL MANAGEMENT
Clinical management varies, and many treatment modalities are available to the physician. The following is my usual management approach.
  1. Clinical examination: Initial evaluation requires a CT scan for confirmation of intraocular calcification and assessment of the pineal region. Routine bone marrow and lumbar puncture for metastasis may not be required.155 If the optic nerve is possibly involved on clinical examination, an evaluation of the cerebrospinal fluid is warranted.
  2. Genetic evaluation: Chromosomal studies in bilateral cases may be most useful; however, germline mutations have been described for unilateral disease. Once the germline defect is identified, genetic screening of high-risk relatives is inexpensive relative to frequent examinations.3 If a defect is not identified in the index case, it is of limited value. Southern blot techniques are not sensitive enough for routine screening. DNA sequence analysis allows for identification of single nucleotide mutations.156
  3. Imaging techniques, examination under anesthesia, and surgery: Tumor extent may be assessed with CT, ultrasound, or EUA. For complete assessment of tumor extent in the pediatric patient, EUA is required. Immediate enucleation is warranted if the eye is approximately two-thirds full of tumor or when there is optic nerve involvement, anterior segment disease, glaucoma, or a vitreous hemorrhage. Less extensive unilateral disease may require enucleation. Silicon and hydroxyapatite implants157,158 up to 18 mm can be used.
  4. Nonsurgical therapy: With less extensive disease or in the monocular patient, other modalities are considered on the basis of size and location. Local definitive therapy is preferred. Lesions less than 3 disc diameters may be destroyed locally with cryotherapy, brachytherapy, laser therapy, or laser plus chemotherapy. Lesions treated near the optic nerve or fovea, however, may lead to significant visual loss. Lesions between 4 and 10 disc diameters may be treated with laser plus chemotherapy, brachytherapy, or external beam radiotherapy. Lesions larger than 10 disc diameters may be treated with external beam radiation. Chemotherapy for tumor reduction may play a role in lesions greater than 4 disc diameters. To date, the only proven therapy for vitreous seeding is radiation (Table 2). If tumor involves the surgical margin of the optic nerve or demonstrates extrascleral extension, whole-orbit irradiation with chemotherapy is indicated. Metastasis to the central nervous system may require systemic and intrathecal chemotherapy with or without the addition of neuraxis radiation. Bone marrow disease requires chemotherapy.

 

TABLE 2. Treatment (Eye Less Than 75% Full of Tumor)


LocationSize (dd)Treatment
Anterior to equator1–4Immediate cryotherapy
 4–10Plan plaque vs. chemoreduction + local treatment
 >10Plan external beam radiation vs. chemoreduction + local treatment
Posterior to equator*1–4Immediate “cutting” cryotherapy vs. laser vs. plan plaque vs.diode/carboplatin
 4–10Plan plaque vs. diode/carboplatin vs. chemoreduction + local treatment
 >10Plan external beam radiation vs. chemoreduction + local treatment
Vitreous seeding Plan external beam radiation vs. chemotherapy

dd = disc diameters.
*Near macula, optic nerve. Cryotherapy or plaque may be locally destructive.

 

FOLLOW-UP

In bilateral retinoblastoma, frequent follow-up eye examinations are required to detect tumor recurrence or new tumors, as follows: EUA every 4 to 6 weeks with active tumor during the first 2 years of life, a clinical examination or EUA every 3 to 4 months at age 3 years, a clinical examination or EUA every 6 months up to age 5 years, and then yearly clinical examinations. Infants at risk for retinoblastoma (e.g., siblings, offspring) are examined in the office every month until age 3 months and then every 3 to 6 months until age 3 years.3 Unilateral retinoblastoma patients may require a clinical examination or EUA every 4 months until age 2 years, every 6 months until age 5 years, and then yearly.125

MRI is accurate for pineal lesions; however, its use in follow-up is controversial. The risk of trilateral retinoblastoma is low, but it may be asynchronous in presentation. The practice of some centers may range from scanning patients as often as every 6 months until age 3 years to not scanning these patients at all.

Back to Top
THE FUTURE
New ways of using conventional chemotherapy and radiation are being studied. Determination of the genetic defect and the actions of the retinoblastoma gene product are currently very active areas of research. Genetic manipulation of retinoblastoma or other cancers may be possible. Potential clinical uses of p110RB1 are being investigated. This nonphosphorylatable RB1 gene product has been used to prevent smooth muscle cell proliferation.159 Local application of p110RB1 prevents human lung cancer cell growth in mice.47 Better therapeutic options will lead to improved survival, lower morbidity, and retention of sight.
Back to Top
REFERENCES

1. Abramson DH, Jereb B, Ellsworth RM: External beam radiation for retinoblastoma. Bull NY Acad Med 57: 787, 1981

2. Gallie BL, Muncaster M, Hamel P et al: Retinoblastoma: a model for the role of recessive mutations in cancer initiation and progression. Can J Oncol 2:50, 1992

3. Gallie BL, Dunn JM, Chan HL et al: The genetics of retinoblastoma: relevance to the patient. Pediatr Clin North Am 38:299, 1991

4. Goddard AD, Phillips RA, Greger V et al: Use of the RB1 cDNA as a diagnostic probe in retinoblastoma families. Clin Genet 37:117, 1990

5. Albert D: Historic review of retinoblastoma. Ophthalmology 94:654, 1987

6. Hilgartner HL: Report of a case of double glioma treated by X-ray. Tex Med J 18:322, 1903

7. Moore RF: Value and technique of use of radon in certain intraocular conditions. Trans Ophthalmol Soc UK 53: 215, 1933

8. Reese AB, Merriam GL, Martin AG: Treatment of bilateral retinoblastoma by irradiation and surgery: report on 15 year results. Am J Ophthalmol 32:175, 1949

9. Stallard HB: Radiotherapy of malignant intraocular neoplasms. Br J Ophthalmol 32:618, 1948

10. Kupfer C: Retinoblastoma treated with intravenous nitrogen mustard. Am J Ophthalmol 36:1721, 1953

11. Weve HJM: The diathermy treatment of intraocular tumors. Trans Ophthalmol Soc Austr 13:47, 1953

12. Melchers MJ: Diathermy treatment of intraocular tumors. Drukkeris Fa Schotamus and Jens Utredht, 1953

13. Ellsworth RM: Treatment of retinoblastoma. Am J Ophthalmol 66:49, 1968

14. Meyer-Schwickerwath G: The preservation of vision by treatment of intraocular tumors with light coagulation. Arch Ophthalmol 66:458, 1961

15. Abramson DH: Retinoblastoma 1990: diagnosis, treatment and implications. Pediatr Ann 19:387, 1990

16. Hart P: The role of the retinoblastoma gene in tumor pathogenesis. Clin Oncol 4:125, 1992

17. Brooks L, Meyer D, Shields JA et al: Removal of radiation-induced cataracts in patients treated for retinoblastoma. Arch Ophthalmol 108:1701, 1990

18. Zimmerman LE: Retinoblastoma and retinocytoma. In Spencer WH (ed): Ophthalmic Pathology: An Atlas and Textbook, Vol 2, pp 1292–1351. Philadelphia, WB Saunders, 1985

19. Gately DP, Howell SB: Cellular accumulation of the anticancer agent cisplatin: a review. Br J Cancer 67:1171, 1993

20. Knudson AG: Retinoblastoma: a prototypic hereditary neoplasm. Semin Oncol 5:57, 1971

21. Pendergrass TW: Incidence of retinoblastoma in the United States. Arch Ophthalmol 98:1204, 1980

22. Maat-Kievit JA, Depkes D, Hartwig NG et al: A large retinoblastoma detected in a fetus at 21 weeks of gestation. Prenat Diagn 13:377, 1993

23. Pierro L, Brancato R, Capoferri C: Prenatal detection and early diagnosis of hereditary retinoblastoma in a family. Ophthalmologica 207:106, 1993

24. Abramson DH, Servodidio CA: Retinoblastoma in the first year of life. Ophthalmic Paediatr Genet 13:191, 1992

25. Matsunaga E, Minoda K, Sasaki MS: Parental age and seasonal variation in the births of children with sporadic retinoblastoma: a mutation-epidemiologic study. Hum Genet 84:155, 1990

26. Tamboli A, Podgor MJ, Horm JW: The incidence of retinoblastoma in the United States: 1974 through 1985. Arch Ophthalmol 108:128, 1990

27. Sorahan T, Stewart AM: Retinoblastoma and fetal irradiation. BMJ 307:870, 1993

28. Lerche W: Merkwurdige Entartung des linken Augapfels bei allen (3) mannlichen Kindern einer Familie. Vermischte Abwandlungen aus dem Jahre 1:188, 1821

29. Munier F, Spence MA, Pescia G et al: Paternal selection favoring mutant alleles of the retinoblastoma susceptibility gene. Hum Genet 89:508, 1992

30. Jay M, Cowell J, Hungerford J: Register of retinoblastoma: preliminary results. Eye 2:102, 1988

31. Wardrop J: Observation on fungus haematodes or soft cancer. Edinburgh, George Ramsey and Co, 1809

32. Comings DE: A general theory of carcinogenesis. Proc Natl Acad Sci USA 70:3324, 1973

33. Gallie BL, Phillips RA: Retinoblastoma: a model of oncogenesis. Ophthalmology 91:666, 1984

34. Friend SH, Bernards R, Rogelj S et al: A human DNA segment with properties of the gene that predisposes to retinoblastoma and osteosarcoma. Nature 323:643, 1986

35. McGee TL, Yandell DW, Dryja TP: Structure and partial genomic sequence of the human retinoblastoma susceptibility gene product. Gene 80:119, 1989

36. Dunn JM, Phillips RA, Becker AJ, Callie BL: Identification of germline and somatic mutations affecting the retinoblastoma gene. Science 241:1797, 1988

37. Yokota J, Akiyama T, Fung YKT et al: Altered expression of the retinoblastoma gene in small-cell carcinoma of the lung. Oncogene 3:471, 1989

38. Oscier D, Chapman R, Fitchett M et al: Deletion of retinoblastoma gene in B-cell chronic lymphocytic leukemia. Blood 76:241, 1990

39. T'Aang A, Varley JM, Chakraborty S et al: Structural rearrangement of the retinoblastoma gene in human breast carcinoma. Science 242:263, 1988

40. Dunn JM, Phillips RA, Zhu X et al: Mutations in the RB1 gene and their effects on transcription. Mol Cell Biol 9:4596, 1989

41. Verhoeff FH, Jackson E: Minutes of the proceedings of the 62nd annual meeting. Trans Am Ophthalmol Soc 24:38, 1926

42. Warneford S, Townsend M, Rowe PD et al: Overexpression of the retinoblastoma gene in a familial adrenocortical carcinoma. Cell Growth Differ 2:439, 1991

43. Naumova A, Hansen M, Strong L et al: Concordance between parental origin of chromosome 13q loss and chromosome 6p duplication in sporadic retinoblastoma. Am J Hum Genet 54:274, 1994

44. Ohnishi Y, Shigeto M, Ishibashi T, Hirata J: Familial pericentric inversion of chromosome 11 in a child with sporadic unilateral retinoblastoma. Ophthalmic Paediatr Genet 11:281, 1990

45. Musarella MA, Gallie BL: A simplified scheme for genetic counseling in retinoblastoma. J Pediatr Ophthalmol Strabismus 24:124, 1987

46. Zacksenhaus E, Bremner R, Jiang Z et al: Unraveling the function of the retinoblastoma gene. Adv Cancer Res 61:115, 1993

47. Antelman D, Machemer T, Huyghe BG et al: Inhibition of tumor cell proliferation in vitro and in vivo by exogenous p110RB, the retinoblastoma tumor suppressor protein. Oncogene 10:697, 1995

48. Cavanaugh AH, Hempel WM, Taylor LJ et al: Activity of RNA polymerase I transcription factor UBF blocked by Rb gene product. Nature 374(6518):177, 1995

49. Haye C, Dejardins L, Schlienger P et al: Treatment of bilateral retinoblastoma stage V at the Curie Foundation. Ophthalmic Paediatr Genet 8:73, 1987

50. Kodlilinye HC: Retinoblastoma in Nigeria: problems of treatment. Am J Ophthalmol 63:469, 1967

51. Schultz KR, Ranada S, Neglia JP, Ravindranath Y: An increased relative frequency of retinoblastoma at a rural regional referral hospital in Miraj, Maharachtra, India. Oncology 72:222, 1993

52. Fontanesi J, Pratt C, Meyer D et al: Asynchronous bilateral retinoblastoma: The St. Jude Children's Hospital experience. Ophthalmic Genet 16:109, 1995

53. Mathew L, Miale TD, Rao S et al: Retrospective analysis of 58 children with retinoblastoma. Ophthalmol Paediatr Genet 4:67, 1984

54. Shields JA, Shields CL, Suvarnamani C et al: Retinoblastoma manifesting as orbital cellulitis. Am J Ophthalmol 112:442, 1991

55. Shields CL, Shields JA, Shields MB: Prevalence and mechanism of secondary intraocular pressure elevation in eyes with intraocular tumors. Ophthalmology 94:839, 1987

56. Shields JA, Shields CL, Eagle RC, Blair CJ: Spontaneous pseudohypopyon secondary to diffuse infiltrating retinoblastoma. Arch Ophthalmol 106:1302, 1988

57. Byrnes GA, Shields CL, Shields JA et al: Retinoblastoma presenting with spontaneous hyphema and dislocated lens. J Pediatr Ophthalmol Strabismus 30:334, 1993

58. Howard GM: Spontaneous hyphema in infancy and childhood. Arch Ophthalmol 69:583, 1968

59. Jakobiec FA, Tso MOM, Zimmerman LE, Danis P: Retinoblastoma and intracranial malignancy. Cancer 39:2048, 1977

60. Pesin SR, Shields JA: Seven cases of trilateral retinoblastoma. Am J Ophthalmol 107:121, 1989

61. Guyton AC, Hall JE: Reproduction and hormonal function of the male (and the pineal gland). In Guyton AC, Hall JE (eds): Textbook of Medical Physiology, 9th ed, pp 1015–1016. Philadelphia, WB Saunders, 1996

62. Sivak JGL: The vertebrate median eye. Vision Res 14: 137, 1974

63. Blach LE, McCormick B, Abramson DH, Ellsworth RM: Trilateral retinoblastoma—incidence and outcome: a decade of experience. Int J Radiol Oncol 29:729, 1994

64. Bader JL, Meadows AT, Zimmerman LE et al: Bilateral retinoblastoma with ectopic intracranial retinoblastoma: trilateral retinoblastoma. Cancer Genet Cytogenet 5: 203, 1982

65. Katayama Y, Tsubokawa T, Yamamoto T, Nemoto N: Ectopic retinoblastoma within the 3rd ventricle: case report. Neurosurgery 28:158, 1991

66. Palazzi M, Abramson D, Ellsworth RH: Endophytic vs. exophytic unilateral retinoblastoma: is there any real difference? J Pediatr Ophthalmol Strabismus 27:255, 1990

67. Nicholson DH, Norton EWD: Diffuse infiltrating retinoblastoma. Trans Am Ophthalmol Soc LXXCVIII:265, 1980

68. Gallie BL, Ellsworth RM, Abramson DH, Phillips RA: Retinoma: spontaneous regression of retinoblastoma or benign manifestation of the mutation? Br J Cancer 45: 515, 1982

69. Eagle RC, Shields JA, Donoso L, Milner RS: Malignant transformation of spontaneously regressed retinoblastoma, retinoma/retinocytoma variant. Ophthalmology 96: 1389, 1989

70. Assaf AA, Phillips CI: Spontaneous regression of unilateral retinoblastoma in a father of three sons with bilateral retinoblastoma. Ophthalmic Paediatr Genet 6:179, 1985

71. Allderdice PW, Davis JG, Miller OJ et al: The 13 q-deletion syndrome. Am J Hum Genet 21:499, 1969

72. Grabowski EF, Abramson DH: Intraocular and extraocular retinoblastoma. Hematol Oncol Clin North Am 1:1721, 1987

73. Mafee MF, Goldberg MF, Greenwald MF et al: Retinoblastoma and simulating lesions: role of CT and MRI imaging. Radiol Clin North Am 25:667, 1987

74. Shields JA, Shields CL, Eagle R et al: Calcified intraocular abscess simulating retinoblastoma. Am J Ophthalmol 114:227, 1992

75. Char DH, Hedges TR III, Norman D: Retinoblastoma: CT diagnosis. Ophthalmology 91:1347, 1984

76. Shields JA, Leonard BC, Michelson JB, Sarin LK: B-scan ultrasonography in the diagnosis of atypical retinoblastomas. Can J Ophthalmol 11:42, 1976

77. Senft SH, Hidayat AA, Cavender JC: Atypical presentation of Coats' disease. Retina 14:36, 1994

78. Boal DK: Case 4: Noncalcified retinoblastoma. AJR 162: 1474, 1994

79. Abramson DH, Piro PA, Ellsworth RM et al: Lactate dehydrogenase levels and isozyme patterns: Measurements in the aqueous humor and serum of retinoblastoma patients. Arch Ophthalmol 97:870, 1979

80. Akhtar M, Ashraf AM, Sabbah R et al: Aspiration cytology of retinoblastoma: light and electron microscopic correlations. Diagn Cytopathol 4:306, 1988

81. O'Hara BJ, Ehya H, Shields JA et al: Fine needle aspiration biopsy in pediatric ophthalmic tumors and pseudotumors. Acta Cytol 37:125, 1993

82. Karcioglu ZA, Gordon RA, Karcioglu GL: Tumor seeding in ocular fine needle aspiration biopsy. Ophthalmology 92:1763, 1985

83. Abramson DH, Greenfield DS, Ellsworth RM et al: Neuron-specific enolase and retinoblastoma. Retina 9:148, 1989

84. Bomanji J, Hungerford JL, Kingston JE et al: 123I metaiodobenzylguanidine (MIBG) scintigraphy of retinoblastoma: preliminary experience. Br J Ophthalmol 73:146, 1989

85. Mafee MF, Goldberg MF, Cohen SB et al: Magnetic resonance imaging versus computed tomography of leukocoric eyes and use of in vitro proton magnetic resonance spectroscopy of retinoblastoma. Ophthalmology 96:965, 1989

86. Hopping W: The new Essen prognosis classification for conservative sightsaving treatment of retinoblastoma in intraocular tumors. In Lommatzsch PK, Blodi FC (eds): Intraocular Tumors: International Symposium Under the Auspices of the European Ophthalmological Society, pp 497–505. Berlin, Springer-Verlag, 1983

87. Howarth C, Meyer D, Hustu HO et al: Stage-related combined modality treatment of retinoblastoma: results of a prospective study. Cancer 45:851, 1980

88. McCartney ACE, Olver JM, Kingston JE, Hungerford JL: Forty years of retinoblastoma: into the fifth age. Eye 2(suppl):13, 1988

89. Katsetos CD, Herman MM, Frankfurther A et al: Neuron-associated class III B-tubulin isotype microtubule associated protein 2, and synaptophysin in human retinoblastoma in situ. Lab Invest 64:45, 1991

90. Nork TM, Schwartz TL, Doshi HM, Millecchia LL: Retinoblastoma: cell of origin. Arch Ophthalmol 113:791, 1995

91. Flexner S: A peculiar glioma (neuroepithelioma) of the retina. Bull Johns Hopkins 2:115, 1891

92. Wintersteiner H: Die Neuroepithelioma Retinae: Eine Anatomiche und Klinische Studie. Leipzig, Dentisae, 1897

93. Howard MA, Dryja TP, Walton DS, Albert DM: Identification and significance of multinucleate tumor cells in retinoblastoma. Arch Ophthalmol 107:1025, 1989

94. Fontanesi J, Rao BN, Fleming ID et al: Pediatric brachytherapy: The St. Jude Children's Research Hospital experience. Cancer 74:733, 1994

95. Tajima Y, Munakata S, Ishida Y et al: Photoreceptor differentiation of retinoblastoma: an electron microscopic study of 29 cases. Pathol Int 44:837, 1994

96. Sanders BM, Draper GJ, Kingston JE: Retinoblastoma in Great Britain 1969-80: incidence, treatment and survival. Br J Ophthalmol 72:576, 1988

97. Zelter M, Schwartz L, Gonzalez G et al: Retinoblastoma: results of treatment and evaluation of vision. Proc Am Soc Clin Oncol 5:203, 1986

98. Stevenson KE, Hungerford J, Garner A: Local extraocular extension of retinoblastoma following intraocular surgery. Br J Ophthalmol 73:739, 1989

99. Magramm I, Abramson DH, Ellsworth RM: Optic nerve involvement in retinoblastoma. Ophthalmology 96:217, 1989

100. Shields CL, Shields JA, Baez K et al: Optic nerve invasion of retinoblastoma: metastatic potential and clinical risk factors. Cancer 73:692, 1994

101. Baez KA, Ulbig MW, Cater J et al: Iris neovascularization, increased intraocular pressure and vitreous hemorrhage as risk factors for invasion of the optic nerve and choroid in children with retinoblastoma. Ophthalmologie 91:796, 1994

102. Chintagumpala MM, Boniuk M, Steinkuller P, Mahoney DH: Retinoblastoma: treatment and follow-up of 35 patients from a single institution. Proceedings of the Society of Pediatric Hematology and Oncology 2:30, 1993

103. Doz F, Khelfaoui F, Mosseri V et al: The role of chemotherapy in orbital involvement of retinoblastoma: the experience of a single institution with 33 patients. Cancer 74:722, 1994

104. Hungerford J, Kingston JE, Plowman PN: Orbital recurrence of retinoblastoma. Ophthalmic Paediatr Genet 8: 63, 1987

105. Abramson DH, Ellsworth RM, Zimmerman LE: Nonocular cancer in retinoblastoma survivors. Trans Am Acad Ophthalmol Otolaryngol 81:454, 1976

106. Derkinderen DJ, Koten JW, Wolterbeek R et al: Non-ocular cancer in hereditary retinoblastoma survivors and relatives. Ophthalmic Paediatr Genet 8:23, 1987

107. Roarty JD, McLean IW, Zimmerman LE: Incidence of second neoplasms in patients with bilateral retinoblastoma. Ophthalmology 95:1583, 1988

108. Draper GJ, Sanders BM, Kingston JE: Second primary neoplasms in patients with retinoblastoma. Br J Cancer 53:661, 1986

109. Hausmann N, Stefani FH: Second nonocular tumors in cured unilateral retinoblastoma patients. J Cancer Res Clin Oncol 117:4, 1991

110. Helton KJ, Fletcher BD, Kun LE et al: Bone tumors other than osteosarcoma after retinoblastoma. Cancer 71:2847, 1993

111. Ellsworth RM: Treatment of retinoblastoma. In Haik GM (ed): Transactions of the New Orleans Academy of Ophthalmology, pp 55–59. New Orleans, NOAO, 1986

112. Strong LC, Herson J, Haas C et al: Cancer mortality in relatives of retinoblastoma patients. J Natl Cancer Inst 73:303, 1984

113. Nelson SC, Friedman HS, Oakes WJ et al: Successful therapy for trilateral retinoblastoma. Am J Ophthalmol 114:23, 1992

114. Weiss AH, Karr DJ, Kalina RE et al: Visual outcomes of macular retinoblastoma after external beam radiation therapy. Ophthalmology 101:1244, 1994

115. Servidio CA, Abramson DH, Boxrud C, Ellsworth RM: Nursing implications of visual fields in successfully treated retinoblastoma patients. Insight 18:10, 1993

116. Holbeck S, Ehlers N: Long-term visual results in eyes cured for retinoblastoma by radiation. Acta Ophthalmologica 67:560, 1989

117. Abramson DH, Ellsworth RM, Rozakis GW: Cryosurgery for retinoblastoma. Arch Ophthalmol 100:1253, 1982

118. Abramson DH: The focal treatment of retinoblastoma with emphasis on xenon arc photocoagulation. Acta Ophthalmologica 194:1, 1989

119. Howard GM: Invasion of the choroid and sclera by retinoblastoma following photocoagulation. Trans Am Acad Ophthalmol 70:984, 1966

120. Shields JA, Shields CL, Parsons H, Giblin ME: The role of photocoagulation in the management of retinoblastoma. Arch Ophthalmol 108:205, 1990

121. Ohnishi Y, Yamana Y, Minei M: Photoradiation therapy using argon laser and a hematoporphyrin derivative for retinoblastoma: a preliminary report. Jpn J Ophthalmol 30:409, 1986

122. Venter DJ, Bevan KL, Ludwig RL et al: Retinoblastoma gene deletions in human glioblastoma. Oncogene 6:445, 1991

123. Dougherty TJ, Kaufman JE, Goldfarb KA et al: Photoradiation therapy for the treatment of malignant tumors. Cancer Res 38:401, 1978

124. Murphree L, Steele D, Malogolowkin M, Sato J: Thermochemotherapy for retinoblastoma: protocol, instrumentation and outcome. Proceedings of the International Society for Genetic Eye Disease, Niagara On The Lake, Ontario, Canada, June 23–24, 1994

125. Shields JA, Shields CL: Current management of retinoblastoma. Mayo Clin Proc 69:50, 1994

126. Shields JA, Shields CL, Sivalingam V: Decreasing frequency of enucleation in patients with retinoblastoma. Am J Ophthalmol 108:185, 1989

127. Donoso LA, Shields CL, Lee EY: Immunohistochemistry of retinoblastoma: a review. Ophthalmol Paediatr Genet 10:3, 1989

128. Abramson DH, Ellsworth RM, Tretter P et al: Simultaneous bilateral radiation for advanced retinoblastoma. Arch Ophthalmol 99:1763, 1981

129. Abramson DH, Ellsworth RM, Tretter P et al: Treatment of bilateral groups I through III retinoblastoma with bilateral radiation. Arch Ophthalmol 99:1761, 1981

130. Abramson DH, Marks RF, Ellsworth RM et al: The management of unilateral retinoblastoma without primary enucleation. Arch Ophthalmol 100:1249, 1982

131. Harris AMP, Nortje CJ, Lucchesi MV: Some effects of radiation therapy during early childhood on facial growth and tooth development. J Dent Assoc S Africa 41:681, 1986

132. Lam BL, Judisch GF, Sobol WM, Blodi CF: Visual prognosis in macular retinoblastoma. Am J Ophthalmol 110:229, 1990

133. Monge OR, Flage T, Hatlevoll R, Vermund H: Sightsaving therapy in retinoblastoma: experience with external megavoltage radiotherapy. Acta Ophthalmologica 64:414, 1986

134. Messmer EP, Sauerwein W, Heinrich T et al: New and recurrent tumor foci following local as well as external beam radiation in eyes of patients with hereditary retinoblastoma. Graefes Arch Clin Exp Ophthalmol 228:426, 1990

135. Abramson DH, McCormick B, Fass D et al: Retinoblastoma: the long-term appearance of radiated intraocular tumors. Cancer 67:2753, 1991

136. Messmer EP, Fritze H, Mohr C et al: Long-term effects in patients with bilateral retinoblastoma: ocular and midfacial findings. Graefes Arch Clin Exp Ophthalmol 229: 309, 1991

137. Mohr C, Fritze H, Messmer E, Heinrich T: Zur Frage der Wachstumshemmung in Mittelgesicht nach fruhkindlicher Retinoblastomtherapie. Dtsch Z Mund Kiefer Gesichts Chir 14:391, 1990

138. Salmonsen PC, Ellsworth RM, Kitchin FD: The occurrence of new retinoblastomas after treatment. Ophthalmology 86:837, 1979

139. Schipper J, Tan Kewp van Peperzeel JA: Treatment of retinoblastoma by precision megavoltage radiation therapy. Radiother Oncol 3:97, 1985

140. Desjardin L, Levy S, Lavit A et al: An experience of the use of radioactive plaques after failure of external beam radiation in the treatment of retinoblastoma. Ophthalmic Paediatr Genet 14:39, 1993

141. Shields JA, Giblin ME, Shields CL et al: Episcleral plaque radiotherapy for retinoblastoma. Ophthalmology 96:530, 1989

142. Bentel GC, Halperin EC, Buckley EC: 125I embedded in an orbital prosthesis for retreatment of recurrent retinoblastoma. Med Dosimetry 18:1, 1993

143. Fass D, McCormick B, Abramson D, Ellsworth R: Cobalt60 plaques in recurrent retinoblastoma. Int J Radiat Oncol Biol Phys 21:625, 1991

144. Shields CL, Hernandez C, Shields JA et al: Letter to the editor: Plaque radiotherapy of retinoblastoma. Ophthalmology 100:1277, 1993

145. Chan HSL, Canton MD, Gallie BL: Chemosensitivity and multidrug resistance to antineoplastic drugs in retinoblastoma cell lines. Anticancer Res 9:469, 1989

146. Inomata M, Kaneko A: Chemosensitivity profiles of primary and cultured human retinoblastoma cells in a human tumor clonogenic assay. Jpn J Cancer Res 78:858, 1987

147. Chan HSL, Thorner PS, Haddad G, Gallie BL: Multidrug-resistant phenotype in retinoblastoma correlates with P-glycoprotein expression. Ophthalmology 98:1425, 1991

148. Advani SH, Rao SR, Iyer RS et al: Pilot study of sequential combination chemotherapy in advanced and recurrent retinoblastoma. Med Pediatr Oncol 22:125, 1994

149. Kingston JE, Hungerford JL, Plowman PN: Chemotherapy in metastatic retinoblastoma. Ophthalmic Paediatr Genet 8:69, 1987

150. Donaldson SS, Smith LM: Retinoblastoma: biology, presentation, and current management. Oncology 3:45, 1989

151. Petersen RA, Friend SH, Albert DM: Prolonged survival of a child with metastatic retinoblastoma. J Pediatr Ophthalmol Strabismus 24:247, 1987

152. Doz F, Neuenschwander S, Plantaz D et al: Etoposide and carboplatin in extraocular retinoblastoma: a study by the Societe Francaise d'Oncologie Pediatrique. J Clin Oncol 13:902, 1995

153. Zelter M, Damel A, Gonzalez G, Schwartz L: A prospective study on the treatment of retinoblastoma in 72 patients. Cancer 68:1685, 1991

154. Uchida I, Kinouchi K, Tashiro C: A new photoradiation therapy and anesthesia. Anesth Analg 70:222, 1990

155. Mohney BG, Robertson DM: Ancillary testing for metastasis in patients with newly diagnosed retinoblastoma. Am J Ophthalmol 118:707, 1994

156. Yandell DW, Campbell TA, Siri H et al: Oncogenic point mutations in the human retinoblastoma gene: their application to genetic counseling. N Engl J Med 321:1689, 1989

157. DePotter P, Shields CL, Shields JA, Singh AD: Use of hydroxyapatite ocular implants in the pediatric population. Arch Ophthalmol 112:208, 1994

158. Shields JA, Shields CL, DePotter P: Enucleation technique for children with retinoblastoma. J Pediatr Ophthalmol Strabismus 29:213, 1992

159. Chang MW, Barr E, Seltzer J et al: Cytostatic gene therapy for vascular proliferative disorders with a constitutively active form of the retinoblastoma gene product. Science 267:518, 1995

Back to Top
SUGGESTED READINGS

Abramson DH, Ellsworth RM, Kitchin FD, Tung G: Second non-ocular tumors in retinoblastoma survivors. Ophthalmology 91:1351, 1984

Ellsworth RM: The practical management of retinoblastoma. Trans Am Ophthalmol Soc 67:462, 1969

Lincoff H, McLean J, Long R: The cryosurgical treatment of intraocular tumors. Am J Ophthalmol 63:389, 1967

Martin HE, Reese AB: Treatment of retinal glioma by a fractionated or divided dose principle of roentgen radiation: preliminary report. Arch Ophthalmol 16:733, 1936

Rubenfeld M, Abramson DH, Ellsworth RM et al: Unilateral vs. bilateral retinoblastoma: correlations between age at diagnosis and stage of ocular disease. Ophthalmology 93:1016, 1986

Singh AD, Sarway-Weath D, Love S et al: Relationship of regression pattern to recurrence in retinoblastoma. Br J Ophthalmol 77:12, 1993

Tso MOM, Zimmerman LE, Fine BS, Ellsworth RM: A cause of radioresistance in retinoblastoma: photoreceptor differentiation. Trans Am Acad Ophthalmol Otolaryngol 74:959, 1976

Tso MOM, Zimmerman LE, Fine BS: The nature of retinoblastoma 1. Photoreceptor differentiation: a clinical and histopathologic study. Am J Ophthalmol 69:339, 1970

Vogel F: Genetics of retinoblastoma. Hum Genet 52:1, 1979

Warneford S, Townsend M, Bowe P et al: Overexpression of the retinoblastoma gene in a familial adrenocortical carcinoma. Cell Growth Differ 2:439, 1991

Back to Top