Chapter 31
Blunt Trauma
ANDREW LAM, WILLIAM E. BENSON and JOHN B. JEFFERS
Main Menu   Table Of Contents

Search

EPIDEMIOLOGY
THE NECESSITY OF EYE PROTECTION
EVALUATION
MECHANISMS OF OCULAR DAMAGE
ANTERIOR SEGMENT INJURIES
POSTERIOR SEGMENT INJURIES
REFERENCES

This chapter concentrates on posterior segment injuries caused by blunt trauma. Anterior segment injuries, surgical management of penetrating injuries, sports injuries, and injuries in the workplace are covered elsewhere in the textbook.
Back to Top
EPIDEMIOLOGY
There are approximately 2.5 million new eye injuries in the United States each year.1 Males are more than four times more likely than females to have ocular injuries and young individuals are more likely than older ones. Blunt objects account for the largest percentage of eye injuries (30%), followed by sharp objects (18%), vehicle crashes (9%), gunshots, nails, BB guns (6% each), fireworks and falls (4% each).1–3 The most common objects to strike the eye are rocks, fists, baseballs, lumber, and fishing weights. In recent years, there has been greater awareness of injuries secondary to bungee cords, paintballs, and airbags.4–9 There are many other rare causes.10–12 Assault and motor vehicle injuries are usually the most severe and are the most likely to result in enucleation.13 The lifetime prevalence of ocular injuries is similar in black and white men, but black men are more likely to sustain a blinding injury.14
Back to Top
THE NECESSITY OF EYE PROTECTION
It is always sad when anyone loses vision from any cause. In the case of sports and occupational injuries, it is doubly sad, because many of them could have been prevented if appropriate, properly fitted, task-specific eye protection had been worn.15,16 Sports injuries account for approximately 100,000 eye injuries per year and approximately 10% to 40% of all eye injuries.17 They are so common because millions of Americans play sports but few wear the appropriate eye protection. The number of serious boxing injuries could probably be reduced if boxers wore proper head gear and thumb-tied gloves.18,19 Similarly, participants in other popular sports, such as squash and racquetball should wear appropriate eye protection.20,21 In Canada, a strict requirement for eye protection has almost totally eliminated blinding injuries in amateur ice hockey, racquetball, and squash players who wear appropriate equipment.22
Back to Top
EVALUATION
In every case of blunt trauma to the eye and orbit it is essential to perform a complete ophthalmic examination. One of the oddities of blunt trauma is that an injury that causes minimal signs of damage to one part of the eye can cause a significant injury in another part of the eye. For example, a blow to the eye can cause no iritis or hyphema while causing a giant tear, choroidal rupture, or blowout fracture. Only by ruling out all possible injuries can the examiner be confident that none are missed. The examiner should strongly consider an examination under anesthesia in uncooperative children suspected of being severely injured.

Immediate measurement of visual acuity is important for future decision making and for medico-legal and prognostic purposes. If a Snellen chart is not available, the ability to count fingers or to read a newspaper gives some indication of visual function. The examiner should document the size of the print and the distance at which it is read. A careful assessment of the pupils can be very helpful, because an afferent pupillary defect (APD) is an important predictor of visual outcome.23 In many cases sphincter tears or iritis make this difficult, but the examiner can detect severe retinal or optic nerve damage by using the swinging flashlight test to demonstrate an APD. The pupil in the fellow eye constricts when the light is moved to it from the traumatized one.

It is especially important to rule out retinal tears, commotio retinae, choroidal ruptures, and optic nerve involvement. If hyphema is present, however, the fundus examination must be done very gently to avoid precipitating a secondary hemorrhage. Scleral depression and gonioscopy should be avoided for at least 2 to 3 weeks. If a complete fundus examination is difficult because of opaque media, ultrasonography should be repeated every 2 to 3 weeks until it is certain that there is no retinal detachment. All patients must be followed until the ora serrata can be seen for 360 degrees.

One further admonition is in order. The examiner must examine the uninjured eye as well. Patients who suffer blunt trauma in one eye may well have suffered previous blunt trauma in the fellow eye and may be unaware of vision-threatening conditions such as glaucoma or retinal detachment.

Back to Top
MECHANISMS OF OCULAR DAMAGE
Blunt trauma causes ocular damage by the coup mechanism, by the contrecoup mechanism, or by ocular compression.

COUP AND CONTRECOUP

Courville24,25 introduced the concept of coup and contrecoup injury to explain brain damage caused by blunt trauma to the head. Coup refers to local trauma at the site of impact. Contrecoup refers to injuries at the opposite side of the skull caused by shock waves that traverse the brain. Foci of brain damage are found along the path of the shock waves, especially at interfaces of tissues of different density. The greatest difference in density is between the brain and the skull, and it is here that the most severe damage occurs. Wolter later used these concepts to explain eye injuries.26 Examples of coup injuries are corneal abrasions, subconjunctival hemorrhages, choroidal hemorrhages, and retinal necrosis (Fig. 1). The best example of a contrecoup injury is commotio retinae (Fig. 2). These injuries are discussed later in this chapter.

Fig. 1. A: Coup injury. At the site of impact of a stick, subretinal and vitreous hemorrhage are present. B: Three months later, most of the hemorrhage has cleared, revealing choroidal and pigment epithelial necrosis.

Fig. 2. Contrecoup injury. When a blunt object strikes the eye, shock waves traverse the eye to strike the posterior pole.

ANTERIOR–POSTERIOR COMPRESSION AND EQUATORIAL EXPANSION

The volume of a closed space cannot be changed. Therefore, when the eye is compressed along its anterior–posterior axis, it must either expand in its equatorial plane (Fig. 3) or rupture. Using high-speed photography, Delori and associates27 studied blunt trauma in enucleated pig eyes. The cornea was indented 8.5 mm, reducing the original anterior–posterior axis by 41% and bringing the posterior surface of the cornea into contact with the iris and the lens. The equatorial plane was expanded to 128% of its original length. Specific examples of damage caused by this severe stretching of the ocular tissues are discussed later.

FIG. 3. When the eye is compressed along its anterior-posterior axis, it expands in its equatorial plane (small arrows), causing severe traction at the vitreous base (large arrows).

Back to Top
ANTERIOR SEGMENT INJURIES

CORNEA

Abrasions of the corneal epithelium are common but because they heal rapidly, they are of little consequence. Endothelial damage can be more serious. A local concussion (coup effect) can rupture endothelial cells and loosen the intercellular tight junctions. They can also be damaged by being crushed against the iris and the lens. The transient corneal edema usually clears, but endothelial damage can be permanent. Follow-up studies of patients with traumatic hyphema show endothelial cell loss that correlates with the severity of the initial injury.28,29

When a total hyphema is present, the damaged corneal endothelium may permit hemoglobin to enter the corneal stroma. Usually, high intraocular pressure is required to cause corneal bloodstaining, but cases have been reported in which the intraocular pressure was normal.30 Corneal transplantation is rarely necessary as the bloodstaining nearly always clears spontaneously, but this may require a considerable period of time. The central cornea clears last. Adults can wait for clearing, but in young children, amblyopia can develop.

When the cornea is abruptly forced backward by severe blunt trauma, it presses the iris against the lens, preventing the escape of aqueous into the posterior chamber. If enough force is applied, the entrapped aqueous dissects into the ciliary body, resulting in a recessed angle (Fig. 4). This tearing of the ciliary body is responsible for approximately 90% of the hyphemas seen after blunt trauma.31,32 Other causes of hemorrhage include separation of the iris from the ciliary body (iridodialysis) and sphincter tears. Ultrasound biomicroscopy can be useful in diagnosing dissection of the ciliary body or iridodialysis (Fig. 5).33–35

Fig. 4. Angle recession after blunt trauma.

Fig. 5. Ultrasound biomicroscopy image of cyclodialysis (arrow). “C” identifies the cornea, “S” identifies the sclera.

In injuries severe enough to cause a full-thickness corneal rupture, the wound usually crosses the limbus into the adjacent sclera. Exceptions are eyes that have had radial keratotomy, cataract surgery, or corneal transplantation, even years before the trauma.36–38

GLAUCOMA

Acutely, the intraocular pressure may be normal, increased, or decreased. Aqueous outflow may be decreased because of angle recession, inflammatory trabeculitis, or hyphema. On the other hand, ciliary body injury tends to decrease aqueous inflow. The intraocular pressure depends on the balance of these factors. In patients who have large hyphemas, the pressure may rise abruptly. Therefore, it must be checked at regular intervals. It is especially important to monitor the intraocular pressure in hyphema patients who have sickle cell disease, be it homozygous or heterozygous. Unlike normal erythrocytes, sickled erythrocytes cannot pass through the trabecular meshwork and tend to occlude it, raising intraocular pressure. This, in turn, can cause central retinal artery obstruction even if the pressure is only in the high twenties or low thirties. Prompt paracentesis followed by surgical evacuation can restore vision.39

Late glaucoma can also develop, even years after the initial injury. Autopsy studies have found three ways by which the trabecular meshwork can be obstructed: proliferation of corneal endothelial cells and Descemet's membrane, proliferation of fibroblasts, and peripheral anterior synechiae (presumably from inflammation or from organization of blood in the angle for more than 7 days).40 Other possibilities are direct damage to the trabecular meshwork and damage to the ciliary muscle with reduced traction on the scleral spur. The risk is greatest in patients who have severe anterior segment damage such as cataract, angle recession, iris damage and displacement of the lens.41 Nine percent of patients with angle recession develop permanent glaucoma.42 If trabeculectomy is required, some authors recommend antimetabolites because the failure rate in patients with angle recession is greater than it is in patients with typical open angle glaucoma.43

LENS

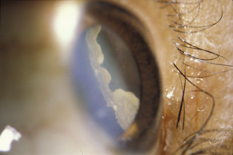
When the lens is struck by the cornea or by a strong shock wave, a transient anterior subcapsular cataract, known as a rosette cataract, may develop (Fig. 6). Repeated trauma, as in boxers, often causes posterior subcapsular cataract. Blunt trauma can also result in rupture of the anterior or posterior capsule.44,45 In severe cases, iridodonesis or a bead of vitreous in the anterior chamber signals a subluxed lens. Dislocation may also occur (Fig. 7). It is important to remember that ocular trauma is common, but lens dislocation is rare. Therefore, in patients with a dislocated lens, the clinician should always rule out predisposing causes such as Marfan's syndrome, homocystinuria and syphilis. In rare cases the lens itself can rupture and cause phacolytic glaucoma.

Fig. 6. An anterior subcapsular rosette cataract.

Fig. 7. A: Posterior dislocation of an intraocular lens. B: B-scan of intraocular lens lying on the retina inferiorly.

Blunt trauma can also result in transient high myopia caused by anterior shift of the lens-iris diaphragm secondary to ciliochoroidal effusion and ciliary body edema.46,47

UVEA

Blunt trauma can lead to persistent uveitis. If traumatic uveitis is suspected, the ophthalmologist must carefully examine the fundus for posterior signs of trauma.48

HYPHEMA

The management of traumatic hyphema remains somewhat controversial. The goals are to prevent peripheral anterior synechiae, severe acute glaucoma, and corneal blood staining. Although these can be the result of the initial hyphema, the risk increases dramatically with secondary hemorrhage which is most likely to occur 1 to 2 days after the injury. The risk is greatest in patients who present with large hyphemas and in African Americans, particularly if there is a history of sickle cell disease.49 The reported incidence of secondary hemorrhage ranges from 0% to 38%.39

Medical Management

Currently, at the Wills Eye Hospital, most microhyphemas and many hyphemas are treated on an outpatient basis. It is appropriate to consider hospitalization for patients who are noncompliant, are at high risk of rebleeding, or have other severe injuries. Hospitalization can also be considered for children if child abuse is suspected or aggressive treatment is advised to prevent amblyopia. If treated as an outpatient, hyphema patients follow-up daily for 3 days. Microhyphema patients follow-up on the third day after initial trauma.50,51

The authors have long abandoned traditional strict bed rest but still encourage limited activity. The head of the bed should be elevated to encourage the blood to collect inferiorly, out of the visual axis. Eye-patching is avoided so that patients can immediately report decreased vision, which is often the first symptom of a secondary hemorrhage. The eye is protected with an eye shield.

The authors dilate the pupil with atropine to reduce pain and to facilitate later fundus examination. Atropine may also reduce the risk of secondary hemorrhage by stabilizing the blood–ocular barrier. Topical corticosteroids are used to increase comfort and decrease inflammation.52–54 It has been reported that systemic corticosteroids markedly reduce the incidence of secondary hemorrhages,52–54 but two prospective double-blind studies found no beneficial effects.55,56

Aspirin and other nonsteroidal antiinflammatory agents must be strictly avoided because their antiplatelet effects predispose to rebleeding.

Antifibrinolytic Agents

Patients who are hospitalized, particularly for rebleeding, are treated with aminocaproic acid, which improves clot stabilization. Another antifibrinolytic agent is tranexamic acid. Antifibrinolytic agents prevent conversion of plasminogen to plasmin and block the action of plasmin itself, theoretically preventing retraction of clots that occlude injured blood vessels until they are more completely repaired. At the Wills Eye Hospital, it reduced secondary hyphema from 25% to 10%. Several studies showed that aminocaproic acid reduces the incidence of secondary hyphema from approximately 30% to approximately 4%.57–59 Caution is necessary when antifibrinolytic agents are discontinued, because in some patients, the clot may rapidly dissolve 1 or 2 days later with a resultant increase in intraocular pressure severe enough to require surgical intervention.60 To try to avoid this complication, the authors decrease the dose of aminocaproic acid by one-half after 48 hours. Patients are discharged after 72 hours and reexamined daily for a few more days. Some studies of topical aminocaproic acid suggest that it may be effective in reducing incidence of rebleeding,61,62 although this is controversial.63

Management of Intraocular Pressure

It is important to keep the intraocular pressure under control to prevent corneal bloodstaining. If it is elevated, the authors initially treat with β-blockers, followed by an α-agonist (e.g., apraclonidine 0.5% or brimonidine 0.2%) or carbonic anhydrase inhibitor (e.g., dorzolamide 2% or brinzolamide 1%). Prostaglandin analogues and miotics are avoided because these may increase inflammation. If these topical medications are not adequate, oral acetazolamide, (Diamox®) is used, followed by mannitol if needed. If mannitol is necessary to control the intraocular pressure surgical evacuation may be indicated. When treating patients with sickle disease, it is preferable to avoid treatments that could promote sickling. For example, carbonic anhydrase inhibitors may promote sickling by increasing aqueous levels of ascorbic acid. Adrenergic agonists with predominantly α1 effects should also be avoided. It is also best to avoid repeated use of hyperosmotic agents such as mannitol, which results in hemoconcentration and greater blood viscosity.39 Instead of Diamox (Goldshield Pharmaceuticals, Surrey, UK), methazolamide (Neptazane, Lederle Pharmaceutical Division, American Cyanamid Company, Pearl River, NY ) can be tried as it has less acidifying effect. The authors continue treatment until intraocular pressure is less than 30 mm Hg (24 mm Hg for patients with sickle cell disease). Recently, transcorneal oxygen therapy has been attempted with encouraging results for decreasing intraocular pressure. By increasing the partial pressure of oxygen, cells in the anterior chamber are less likely to sickle.64

Indications for Surgery

Surgery for hyphema is discussed in detail elsewhere in these volumes. The most common indications are corneal blood staining, total hyphema for 1 to 2 days, large clots present for 5 to 6 days, and uncontrolled intraocular pressure. In patients with sickle cell trait or disease evacuation is strongly considered if the patient has a marked decrease in vision or intraocular pressure above 24 mm Hg. Combining a trabeculectomy with the washout in patients with high intraocular pressure has been advocated.65

Back to Top
POSTERIOR SEGMENT INJURIES

COMMOTIO RETINAE

Commotio retinae (Latin, meaning retinal contusion) is a contrecoup injury. It can occur peripherally (Fig. 8) or centrally, in which case it is called Berlin's edema (Fig. 9). Immediately and for several hours after the trauma, the retina appears normal, although the patient may complain of decreased vision. Thereafter, the outer layers of affected retina become opaque. On fluorescein angiography, the opaque retina blocks background choroidal fluorescence, and in most cases there is no leakage into or under the retina (Fig. 10). For years, clinicians had difficulty explaining this blockage, because leakage is expected in conditions with edema. It was then shown in experimental animals and in human autopsy eyes that Berlin's edema is not true edema. The retinal opaqueness is the result of intracellular edema and fragmentation of the photoreceptor outer segments and intracellular edema of the underlying pigment epithelium. There is little or no intercellular fluid.66–69

Fig. 8. Peripheral commotio retinae. The retinal blood vessels are clearly seen because the retinal whitening is in the outer retinal layers.

Fig. 9. Commotio retinae in the macula (Berlin's edema). The visual acuity was 20/25 at the time of the photograph and later improved to 20/15.

Fig. 10. A: Commotio retinae in the macula. B: On the angiogram there is no leakage in the area of commotio retinae.

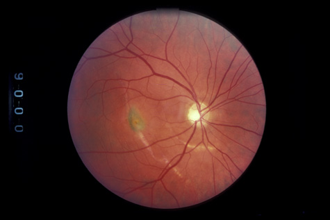
The visual acuity in commotio retinae varies from 20/20 to 20/400 and does not always correlate with the degree of retinal opacification. There is no known treatment. The prognosis is usually excellent except in cases with associated subfoveolar choroidal rupture and in cases with choroidal rupture with subfoveolar hemorrhage. Poor visual recovery can also be expected in cases with severe retinal pigment epithelial damage. Serous retinal detachment (Fig. 11) signals this condition, which can be confirmed by leakage of fluorescein into the subretinal space.70

Fig. 11. A: Serous detachment of the macula and intraretinal and vitreous hemorrhage after the eye was struck with a baseball. B: Three months later. The hemorrhages have cleared, revealing severe pigment epithelial necrosis. The visual acuity is counting fingers.

The late manifestations of contrecoup injury to the retinal pigment epithelium (RPE) vary from minor atrophic changes that are seen as transmission defects on fluorescein angiography to massive hyperplasia and migration of the RPE. This later condition results in bone corpuscular and granular pigmentation that resembles retinitis pigmentosa (Fig. 12).71,72 The traumatic pigmentary changes may be confined to the posterior pole, to the periphery, or to certain quadrants, or they may be more widespread. When the trauma to the RPE destroys photoreceptor cells, localized visual field defects result. Arcuate field defects are not found because the overlying nerve fiber nearly always remains intact.

Fig. 12. A: Peripheral pseudoretinitis pigmentosa after blunt trauma, with marked bone spicule formation and atrophy of the nasal retinal blood vessels. B: The disc and macula of the same eye have normal blood vessels. The other eye is normal.

MACULAR HOLES

In rare cases the retinal contusion causes cystoid macular edema that may, in turn, progress to a macular hole (Fig. 13). A macular hole can also be caused by acute posterior vitreous detachment with foveal traction. In such cases, an overlying operculum is seen. Surgically, the macular hole can sometimes be closed with vitrectomy and gas injection.73 However, in some cases macular holes can spontaneously close, and because of this possibility some suggest observation for 4 to 6 months after the injury.74,75

Fig. 13. A: A full-thickness macular hole caused by the contrecoup effect. B. The same eye shows inferior pigment necrosis and proliferation caused by the coup effect.

RETINAL TEARS

Necrotic Tears

If a blunt object strikes the eye posterior to the ora serrata, the direct concussive effect on the retina (coup effect) may cause full-thickness retinal necrosis with subsequent retinal detachment (Fig. 14). The underlying RPE is usually damaged as well.

Fig. 14. A: An acute retinal detachment caused by a necrotic retinal break. B: Higher power view of the necrotic break. Note the irregular edges.

Vitreous Traction Tears

Weidenthal and Schepens76 concluded, from their study of trauma to enucleated pig eyes, that rapid equatorial expansion is responsible for tears at the anterior and posterior borders of the vitreous base. Because the vitreous body is relatively elastic, slow compression of the eye is not deleterious. However, when the eye is rapidly compressed, the vitreous does not have enough time to stretch. As a consequence, there is strong traction at the vitreous base that may cause tears at its anterior and posterior borders.

Scott suggested an alternative mechanism for these tears (J. Scott, personal communication, 1982). He suggested that retrodisplacement of the cornea and aqueous drives the lens-iris diaphragm backward against the anterior vitreous, forcing the vitreous back and pushing the vitreous base away from its adherence to the pars plana epithelium and anterior retina.

Whatever the mechanism, a portion of the vitreous base can be avulsed from the retina and pars plana. The avulsed base looks like a ribbon floating in the vitreous cavity. Closer inspection reveals that the vitreous base remains in contact with the adjacent vitreous cortex, which is also avulsed (Fig. 15). Avulsion of the vitreous base is pathognomonic of blunt trauma and may have considerable medicolegal importance. Unfortunately, in most cases of severe trauma, the vitreous base does not separate cleanly from the retina and pars plana epithelium. It remains adherent, tearing these tissues. The retina can be torn along the posterior margin of the vitreous base, or the nonpigmented pars plana epithelium can be torn along the anterior margin of the vitreous base, or both can be torn simultaneously. Similarly, if the vitreous is strongly adherent to either lattice degeneration or a vitreoretinal scar posterior to the vitreous base, a posterior flap tear may occur.77 Any of these tears can cause a retinal detachment.

Fig. 15. The avulsed vitreous base remains contiguous with the adjacent vitreous cortex.

Tears along the anterior and posterior margins of the vitreous base are most common inferotemporally. The next most common location is superotemporal. When located superonasally, they are nearly always caused by trauma.78 As regards true dialyses, some authors feel that all dialyses, even inferotemporal ones, are traumatic.79 However, many are familial, bilateral, or found in patients with no historical or histopathologic evidence of injury.80 In these cases, there is probably a developmental abnormality of the inferotemporal peripheral retina and vitreous base.

Tasman's clinical study81 confirmed Weidenthal's experimental evidence that tears caused by blunt trauma nearly always occur at the time of injury. He prospectively examined 52 patients with hyphema. Nine had an acute dialysis, but in 2 years of follow-up, only one late break was found, and that was in a patient whose initial hemorrhage had prevented complete examination of the periphery. Other investigators have confirmed this conclusion.82

Stretch Tears

Occasionally, rapid horizontal expansion of the eye can produce a stretch tear of the retina (Fig. 16). These curvilinear breaks are usually concentric to the optic nerve. They can cause retinal detachment, but in some cases, they are self-sealing (Fig. 17). Glial cells migrate across the undetached posterior cortical vitreous, form a membrane, and then contract, closing or partially closing the breaks and preventing detachment.

Fig. 16. An inferonasal stretch tear. Several retinal blood vessels have also been avulsed.

Fig. 17. A: A full-thickness macular stretch tear and choroidal rupture. The inferotemporal retinal artery is avulsed. B: One month later, glial tissue has sealed the tear. (Courtesy of William H. Annesley, Jr, M.D.)

The Role of Head Trauma in Retinal Tears

Ophthalmologists have long argued about whether or not trauma to the head but not directly to the eye or orbit can cause a retinal tear. Doden and Stark83 showed that it probably does not, at least in normal eyes. He examined 247 patients who had received a severe blow to the head, and none had a retinal tear. However, the authors have seen acute posterior vitreous detachment (PVD) and retinal tears immediately after a blow to the head in patients who were predisposed to retinal tears because of high myopia, lattice degeneration, or other abnormalities

RETINAL AND VITREOUS HEMORRHAGE

If the retina is torn, blood vessels that bridge the tears may bleed into the vitreous. Vitreous hemorrhage can also result from acute PVD and avulsion of superficial retinal vessels. A third possible mechanism is rupture of the ciliary body. In many cases the source of the bleeding is never found. Ultrasound examination is indicated if the posterior segment is obscured by hemorrhage. Ultrasound can reveal a retinal tear or detachment, choroidal detachment, posterior vitreous detachment, or occult ruptured globe. Bed rest with head elevation encourages the blood to settle and improves the view to the fundus on follow-up examinations.

RETINAL DETACHMENT

Because men and boys are most likely to be engaged in fighting or contact sports, it is not surprising that at least three-fourths of the patients with traumatic retinal detachment are men or boys,84 and that blunt trauma is the leading cause of retinal detachment in children and adolescents.85 Because the affected patients have a formed vitreous, traumatic retinal detachments typically progress slowly unless a giant tear is present. In some patients, the trauma occurs months or years before the detachment is diagnosed. Demarcation lines, atrophy of the underlying pigment epithelium, subretinal precipitates, retinal macrocysts, and extensive vitreous “tobacco dust” are all commonly seen (Fig. 18). Proliferative vitreoretinopathy is uncommon, so the prognosis for reattachment is excellent, provided, of course, that all breaks are found. In 87% of traumatic retinal detachments, the causative tear is found at the vitreous base. Superonasal breaks at the anterior vitreous base are commonly overlooked. Because many traumatic retinal breaks cause subsequent retinal detachment, they should all be treated with laser or cryotherapy.

Fig. 18. A typical traumatic retinal detachment. There is an inferotemporal retinal dialysis, a demarcation line, and no signs of proliferative vitreoretinopathy.

CHOROIDAL INJURIES

Posterior choroidal ruptures are probably caused by anterior-posterior compression and equatorial expansion. The retina is relatively elastic, and the sclera is relatively tough. Both resist ruptures. Bruch's membrane, on the other hand, is inelastic and more prone to rupture. The overlying RPE and underlying choriocapillaris are also torn, but in most cases, the deep choroidal blood vessels remain intact (Fig. 19). Rupture of the choriocapillaris often results in subretinal hemorrhage. Patients with angioid streaks and other conditions known to be associated with a inelastic and fragile Bruch's membrane are especially vulnerable to choroidal rupture (Fig. 20).

Fig. 19. A: A large choroidal rupture. B: The arteriovenous phase of the fluorescein angiogram shows that the large choroidal vessels are intact. C: The late phase of the angiogram shows leakage from the normal choriocapillaris into the torn choroid, and some subretinal leakage as well. (Courtesy of Dwain Fuller, M.D.)

Fig. 20. Multiple subretinal hemorrhages caused by the rupture of Bruch's membrane in a patient with angioid streaks.

Initially, a choroidal rupture may be obscured by a subretinal hemorrhage caused by tearing of the choriocapillaris. Later, after the blood has resorbed, a white curvilinear streak concentric to the optic disc is seen. Only rarely is a rupture oriented radially with respect to the optic disk. Most are temporal to the disc and single, although nasal and multiple ruptures can also occur (Fig. 21).

Fig. 21. A: Choroidal rupture concentric to the optic disc. B: Multiple choroidal ruptures. The visual acuity is 20/20.

If the choroidal rupture is under the foveola or if an associated subretinal hemorrhage extends under the foveola, the visual prognosis is generally poor (Fig. 22); however, a recent study showed that even patients with foveal or multiple choroidal ruptures can regain good central vision after extended follow-up.86 If the rupture is elsewhere the prognosis is good because the overlying nerve fiber layer is almost never torn. Therefore, a rupture can be located between the disc and the macula and yet not affect the visual acuity (Fig. 21).

Fig. 22. Large subretinal hemorrhage from a choroidal rupture.

Similar to many conditions that damage Bruch's membrane, choroidal ruptures can, months to years later, be complicated by development of a choroidal neovascular membrane, with serous or hemorrhagic retinal detachment and loss of central vision (Fig. 23).87–89 They usually respond well to laser therapy. Also, studies have demonstrated that subfoveal choroidal neovascular membranes from etiologies other than age-related macular degeneration can benefit from photodynamic therapy.90,91

Fig. 23. A: Choroidal neovascular membrane originating from an old choroidal rupture. B: Fluorescein angiography confirms the diagnosis.

SCLERAL RUPTURE

In eyes that have not undergone prior surgery, the two most common locations for scleral rupture are at the limbus (under intact conjunctiva) and parallel to the muscle insertions between the insertion and the equator. Radial and posterior ruptures are relatively uncommon.29

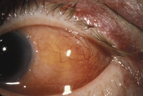
The hallmarks of scleral rupture are severe reduction in visual acuity, an afferent pupillary defect, hypotony (although a normal intraocular pressure does not rule out a small rupture), an abnormally deep anterior chamber, decreased ocular ductions, severe subconjunctival edema (Fig. 24), hyphema, and vitreous hemorrhage.92 The diagnosis can rarely be confirmed by ophthalmoscopy because severe vitreous hemorrhage, hyphema, or both nearly always accompany scleral rupture. Ultrasonography and computed tomography (CT) scanning may be helpful. Both show a shrunken globe. In addition, the CT scan shows subconjunctival edema (Fig. 25). In eyes in which the anterior chamber depth cannot be seen because hyphema, ultrasonography and CT scanning often show a deepened chamber. CT scanning is also useful in identifying any intraocular foreign bodies.

Fig. 24. A: After blunt trauma, an eye has a hyphema. B: Subconjunctival edema signals a ruptured globe.

Fig. 25. Computed tomography of a patient with a ruptured globe demonstrates severe subconjunctival edema and a collapsed globe.

The prognosis for recovery of useful vision in a ruptured globe is very poor, even with current vitrectomy techniques, because the underlying choroid and retina are also torn. Fibrovascular tissue proliferates into the eye and causes severe massive periretinal proliferation. Although most eyes usually only have one rupture, the authors and others93 have seen eyes with more than one.

OPTIC NERVE INJURIES

The optic nerve can be severely damaged by blunt trauma, although the precise mechanism is not known. Possible mechanisms include compression by intrasheath hemorrhage and edema and direct shock-wave trauma to the nerve fibers. The management of traumatic optic neuropathy is controversial. The only prospective, controlled, randomized trial, the International Optic Nerve Trauma Study, failed because of inadequate recruitment.94 Many authorities advocate high-dose intravenous steroids, especially if they can be started within 8 hours. Other treatments that are based on CT findings include surgical decompression of optic nerve sheath hematoma and neurosurgical decompression of the optic canal.95 However, two recent studies did not show that any of these treatments improved visual outcome.94,96

Another severe complication of blunt trauma is evulsion of the optic nerve (Fig. 26). Although this usually is accompanied by severe damage to other ocular tissues, it can be the sole manifestation of apparently minor direct trauma or even a blow to the occiput.

Fig. 26. An evulsed optic nerve and small vitreous hemorrhage.

RETINITIS SCLOPETERIA

Retinitis sclopeteria is the rupture of the choroid or retina caused by shock waves generated by passage of a high-velocity missile through the orbit without directly striking the eye. Initially a subretinal or vitreous hemorrhage is seen. If the optic nerve is damaged, visual acuity can be profoundly decreased. In severe cases, massive amounts of fibrous tissue proliferate into the eye (Fig. 27). In others, as the blood clears, a claw-like break is often seen in Bruch's membrane and in the choriocapillaris (Fig. 28). Retinal detachment rarely occurs at the site of the injury, probably because of binding of the retina to the choroid by fibrous tissue, but late detachment from a break at a distal site can occur.97,98

Fig. 27. A: the left eye of a man who shot himself with a pistol. The bullet passed through both orbits, behind the globes. The optic nerve is at the left of the photograph. There is extensive fibrous proliferation. B: The right eye has considerably less retinal damage, but the visual acuity is hand movements because of optic atrophy.

Fig. 28. A: An equator plus photograph shows retinitis sclopeteria. B: Higher power view of the sclopeteria.

Back to Top
REFERENCES

1. May DR, Kuhn FP, Morris RE, et al: The epidemiology of serious eye injuries from the United States Injury Registry. Graefes Arch Clin Exp Ophthalmol 238:53, 2000

2. MacEwen CJ, Baines PS, Desai P: Eye injuries in children: the current picture. Br J Ophthalmol 83:933, 1999

3. Horn E, McDonald HR, Johnson RN: Soccer ball-related retinal injuries. Retina 20:604, 2000

4. Hollander DA, Aldave AJ. Ocular bungee cord injuries. Curr Opin Ophthalmol 13:167, 2002

5. Da Pozzo S, Pensiero S, Perissutti P: Ocular injuries by elastic cords in children. Pediatrics 106:E65, 2000

6. Thach AB, Ward TP, Hollifield RD, et al: Ocular injuries from paintball pellets. Ophthalmology 106:533, 1999

7. Fineman M, Fischer DH, Jeffers JB, et al: Changing trends in paintball sport-related ocular injuries. Arch Ophthalmol 118:60, 2000

8. Pearlman JA, Au Eong KG, Kuhn F, et al: Airbags and eye injuries: epidemiology, spectrum of injury, and analysis of risk factors. Surv Ophthalmol 46:234, 2001

9. Stein J, Jaeger EA, Jeffers JB: Air bags and ocular injuries. Trans Am Ophth Soc 97:59, 1999

10. De Brito D, Challoner KR, Sehgal A, et al: The injury pattern of a new law enforcement weapon: the police bean bag. Ann Emerg Med 38:383, 2001

11. Endo S, Ishida N, Yamaguchi T: Tear in the trabecular meshwork caused by an airsoft gun. Am J Ophthalmol 131:656, 2001

12. Bullock JD, Ballal DR, Johnson DA: Ocular and orbital trauma from water balloon slingshots. Ophthalmology 104:878, 1997

13. Liggett PE, Pince KJ, Barlow W, et al: Ocular trauma in an urban population. Review of 1132 cases. Ophthalmology 97:581,1990

14. Katz J, Tielsch JM: Lifetime prevalence of ocular injuries from the Baltimore Eye Survey. Arch Ophthalmol 111:1564, 1993

15. Rodriguez JO, Lavina AM, Agarwal A: Prevention and treatment of common eye injuries in sports. Am Fam Physician 67:1481, 2003

16. Fong LP, Taouk Y: The role of eye protection in work-related eye injuries. Aust NZ J Ophthalmol 23:101, 1995

17. Farber AS: Preventing eye injuries: what to tell patients. Postgrad Med 89: 121, 1991

18. Giovinazzo VJ, Yannuzzi LA, Sorenson JA, et al: The ocular complications of boxing. Ophthalmology 94:587, 1987

19. Maguire JI, Benson WE: Retinal injury and detachment in boxers. JAMA 155:2451, 1986

20. Easterbrook M. Ocular injuries in racquet sports. Int Ophthalmol Clin 28:232, 1988

21. Knorr HL, Jonas JB: Retinal detachments by squash ball accidents. Am J Ophthalmol 122:260, 1996

22. Pashby TJ: Eye injuries in Canadian sports and recreational activities. Can J Ophthalmol 27:226, 1992

23. Joseph E, Zak R, Smith S, et al: Predictors of blinding or serious eye injury in blunt trauma. J Trauma 33:19, 1992

24. Courville CB: Coup-contrecoup mechanism of cranio-cerebral injuries. Arch Surg 45:19, 1942

25. Courville CB: Forensic neuropathology. J Forensic Sci 7:1, 1962

26. Wolter JR. Coup-contrecoup mechanism of ocular injuries. Am J Ophthalmol 56:785, 1963

27. Delori FO, Pomerantzeff O, Cox MS: Deformation of the globe under high-speed impact: its relation to contusion injuries. Invest Ophthalmol 8:290, 1969

28. Bourne WB, McCarey B, Kaufman H: Clinical specular microscopy. Trans Am Acad Ophthalmol Otolaryngol 81:743, 1976

29. Slingsby JG, Forstot SL: Effect of blunt trauma on the corneal endothelium. Arch Ophthalmol 99:1041, 1981

30. Beyer TL, Hirst LW: Corneal blood staining at low pressures. Arch Ophthalmol 103:654, 1985

31. Read J, Goldberg MF: Comparison of medical treatment for hyphema. Trans Am Acad Acad Ophthalmol Otolaryngol 78:799, 1974

32. Tonjum A: Gonioscopy in traumatic hyphema. Acta Ophthalmol 44:650, 1966

33. Tanaka S, Takeuchi S, Ideta H: Ultrasound biomicroscopy for detection of breaks and detachment of the ciliary epithelium. Am J Ophthalmol 128:466, 1999

34. Genovesi-Ebert F, Rizzo S, Chiellini S, et al: Ultrasound biomicroscopy in the assessment of penetrating or blunt anterior-chamber trauma. Ophthalmologica 212:6, 1998

35. Park M, Kondo T: Ultrasound biomicroscopic findings in a case of cyclodialysis. Ophthalmologica 212:194, 1998

36. Assia EI, Blotnick CA, Powers TP, et al: Clinicopathologic study of ocular trauma in eyes with intraocular lenses. Am J Ophthalmol 117:30, 1994

37. Agrawal V, Wagh M, Krishnamachary M, et al: Traumatic wound dehiscence after penetrating keratoplasty. Cornea 14:601, 1995

38. Bloom HR, Sands J, Schneider D: Corneal rupture from blunt trauma 22 months after radial keratotomy. Refract Corneal Surg 6:197, 1990

39. Walton W, Von Hagen S, Grigorian , et al: Management of traumatic hyphema. Surv Ophthalmol 47:297, 2002

40. Yanoff M, Fine B: Ocular Pathology: a Text and Atlas. Hagerstown, MD: Harper & Row, 1975:145–148

41. Sihota R, Sood NN, Agarwal HC: Traumatic glaucoma. Acta Ophthalmol Scand 73:252, 1995

42. Kaufman J, Tolpin D. Glaucoma after traumatic angle recession. Am J Ophthalmol 78:648, 1974

43. Mermoud A, Salmon JF, Barron A, et al: Surgical management of post-traumatic angle recession glaucoma. Ophthalmology 100:634, 1993

44. Zabriskie NA, Hwang IP, Ramsey JF, et al: Anterior lens capsule rupture caused by air bag trauma. Am J Ophthalmol 123:832, 1997

45. Rao SK, Parikh S, Padhmanabhan P: Isolated posterior capsule rupture in blunt trauma: pathogenesis and management. Ophth Surg Lasers 29:338, 1998

46. Ikeda N, Ikeda T, Nagata M, et al: Pathogenesis of transient high myopia after blunt eye trauma. Ophthalmology 109:501, 2002

47. Doganay S, Hepsen IF, Evereklioglu C: Bilateral myopia following blunt trauma to one eye. Eur J Ophthalmol 11:83, 2001

48. Rosenbaum JT, Tammaro J, Robertson JE: Uveitis precipitated by nonpenetrating ocular trauma. Am J Ophthalmol 112:392, 1991

49. Nasrullah A, Kerr NC: Sickle cell trait as a risk factor for secondary hemorrhage in children with traumatic hyphema. Am J Ophthalmol 123:783, 1997

50. Recchia F, Saluja R, Hammel K, et al: Outpatient management of traumatic microhyphema. Ophthalmology 109:1465, 2002

51. Shiuey Y, Lucarelli M: Traumatic hyphema: outcomes of outpatient management. Ophthalmology 105:851, 1998

52. Gilbert HD, Jensen AD: Atropine in the treatment of traumatic hyphema. Ann Ophthalmol, 5:1297, 1973

53. Ohrstrom A: Treatment of traumatic hyphema with corticosteroids and mydriatics. Acta Ophthalmol 50:549, 1972

54. Bedrossian RH: The management of traumatic hyphema. Ann Ophthalmol, 6:1016, 1974

55. Spoor TC, Hammer M, Belloso H: Traumatic hyphema: Failure to alter its course: a double-blind prospective study. Arch Ophthalmol, 98:116, 1980

56. Farber MD, Fiscella R, Goldberg MF: Aminocaproic acid versus prednisone for the treatment of traumatic hyphema. A randomized clinical trial. Ophthalmology 98:279, 1991

57. Palmer DJ, Goldberg MF, Frenkel M, et al: A comparison of two dose regimens of epsilon aminocaproic acid in the prevention and management of secondary traumatic hyphemas. Ophthalmology 93:102, 1986

58. Crouch ERJ, Frenkel M: Aminocaproic acid in the treatment of traumatic hyphema. Am J Ophthalmol 81:355, 1976

59. McGetrick JJ, Jampol LM, Goldberg MF, et al: Aminocaproic acid decreases the risk of secondary hemorrhage after traumatic hyphema. Arch Ophthalmol 101:1031, 1983

60. Dieste MC: Intraocular pressure incrase associated with epsilon-aminocaproic acid therapy for traumatic hyphema. Am J Ophthalmol 106:383, 1988

61. Crouch ER, Williams P, Gray MK, et al: Topical aminocaproic acid in the treatment of traumatic hyphema. Arch Ophthalmol 115:1106, 1997

62. Pieramici DJ, Goldberg MF, Melia M, et al: A phase III, multicenter, randomized, placebo-controlled clinical trial of topoical aminocaproic acid in the management of traumatic hyphema. Ophthalmology 110:2106, 2003

63. Karkhaneh R, Naeeni M, Chams H, et al: Topical aminocaproic acid to prevent rebleeding in cases of traumatic hyphema. Eur J Ophthalmol 13:57, 2003

64. Benner JD: Transcorneal oxygen therapy for glaucoma associated with sickle cell hyphema. Am J Ophthalmol 130:514, 2000

65. Graul TA, Ruttum MS, Lloyd MA, et al: Trabeculectomy for traumatic hyphema with increased intraocular pressure. Am J Ophthalmol 117:155, 1994

66. Meyer CH, Rodrigues EB, Mennel S: Acute commotion retinae determined by cross-sectional optical coherence tomography. Eur J Ophthalmol 13:818, 2003

67. Blight R, Hart JCD. Structural changes in the outer retinal layers following blunt mechanical nonperforating trauma to the globe. An experimental study. Br J Ophthalmol 61:573, 1977

68. Mansour AM, Green WR, Hogge C: Histopathology of commotio retinae. Retina 12:24, 1992

69. Sipperley JO, Quigley HA, Gass JDM: Traumatic retinopathy in primates, the explanation of commotio retinae. Arch Ophthalmol 96:2267, 1978

70. Friberg TR: Traumatic retinal pigment epithelial edema. Am J Ophthalmol 88:18, 1979

71. Bastek JV, Foos RY, Heckenlively J: Traumatic pigmentary retinopathy. Am J Ophthalmol 92:621, 1981

72. Crouch JER, Apple DER: Posttraumatic migration of retinal pigment epithelial melanin. Am J Ophthalmol 78:251, 1974

73. Al-Abdulla NA, Thompson JT, Sjaarda RN: Results of macular hole surgery with and without epiretinal dissection or internal limiting membrane removal. Ophthalmology 111:142, 2004

74. Yamashita T, Uemara A, Uchino E, et al: Spontaneous closure of traumatic macular hole. Am J Ophthalmol 133:230, 2002

75. Johnson R, McDonald HR, Lewis H, et al: Traumatic macular hole: observations, pathogenesis, and results of vitrectomy surgery. Ophthalmology 108:853, 2001

76. Weidenthal DT, Schepens CL: Peripheral fundus changes associated with ocular contusion. Am J Ophthalmol 62:465, 1966

77. Jungschaffer OH: Arrowhead tear in the macula. Arch Ophthalmol 86:19, 1972

78. Hagler WS, North AW: Retinal dialysis and retinal detachment. Arch Ophthalmol 79:376, 1968

79. Ross WH: Retinal dialysis: lack of evidence for a genetic cause. Can J Ophthalmol 26:309, 1991

80. Smiddy WE, Green WR: Retinal dialysis, pathology and pathogenesis. Retina 2:94, 1982

81. Tasman W: Peripheral retinal change following blunt trauma. Trans Am Ophthalmol Soc 70:190, 1972

82. Sellors PJ, Mooney D: Fundus changes after traumatic hyphema. Br J Ophthalmol 57:600, 1973

83. Doden W, Stark N: Retina and vitreous findings after serious indirect trauma. Klin Monatsbl Augenheilkd 164:32, 1974

84. Cox MS, Schepens CL: Retinal detachment due to ocular contusion. Arch Ophthalmol 76:678, 1966

85. Winslow RL, Tasman W: Juvenile rhegmatogenous retinal detachment. Trans Am Acad Ophthalmol Otolaryngol 85:607, 1978

86. Raman SV, Desai UR, Andrerson S, et al: Visual prognosis in patients with traumatic choroidal rupture. Can J Ophthalmol 39:260, 2004

87. Fuller B, Gitter K: Truamatic choroidal rupture with late serous detachment of the macula. Arch Ophthalmol 89:354, 1973

88. Hilton GF: Late serosanguinous detachment of the macula after traumatic choroidal rupture. Am J Ophthalmol 79:977, 1975

89. Smith RE, Kelley JS, Harbin TS: Late macular complications of choroidal rupture. Am J Ophthalmol 77:650, 1974

90. Rogers AH, Duker JS, Nichols N: Photodynamic therapy of idiopathic and inflammatory choroidal neovascularization in young adults. Ophthalmology 110:1315, 2003

91. Sickenberg M, Schmidt-Erfurth U, Miller J: A preliminary study of photodynamic therapy using verteporfin for choroidal neovascularization in pathologic myopia, ocular histoplasmosis syndrome, angioid streaks, and idiopathic causes. Arch Ophthalmol 117:327, 2000

92. Kylstra JA, Lamkin JC, Runyan DK: Clinical predictors of scleral rupture after blunt ocular trauma. Am J Ophthalmol 115:530, 1993

93. Joondeph BC, Young TL, Saran BR: Multiple scleral ruptures after blunt ocular trauma. Am J Ophthalmol 108:744, 1989

94. Levin LA, Beck RW, Joseph MP, et al: The treatement of traumatic optic neuropathy: The International Optic Nerve Trauma Study. Ophthalmology 106:1268, 1999

95. Steinsapir KD, Goldberg RA: Traumatic optic neuropathy. Surv Ophthalmol 38:487, 1994

96. Goldenberg-Cohen N, Miller NR, Repka MX: Traumatic optic neuropathy in children and adolescents. J AAPOS 8:20, 2004

97. Martin DF, Awh CC, McCuen BW, et al: Treatment and pathogenesis of traumatic chorioretinal rupture (sclopetaria). Am J Ophthalmol 117:190, 1994

98. Dubovy SR, Guyton DL, Green WR: Clinicopathologic correlation of chorioretinitis sclopetaria. Retina 17:510, 1997

Back to Top