Chapter 21
Macular Hole
ALLEN C. HO and HENRY C. LEE
Main Menu   Table Of Contents

Search

EPIDEMIOLOGY
PATHOGENESIS
HISTOPATHOLOGY
DIAGNOSIS
DIFFERENTIAL DIAGNOSIS
NATURAL HISTORY
MANAGEMENT
SUMMARY
REFERENCES

A macular hole is a full-thickness defect or tear of retinal tissue involving the anatomic fovea of the eye. It was first described by Knapp1 in 1869, in a patient with a history of ocular trauma. Early case descriptions of macular holes focused on young traumatized eyes, but it is now known that “idiopathic” age-related macular holes in older adults comprise most of these lesions.

Therapeutic treatment of macular holes has become possible only relatively recently, as a result of advances and refinements of vitreoretinal surgical techniques. The optimal management and treatment of macular holes continues to be a source of active research.

Back to Top
EPIDEMIOLOGY
Macular holes are uncommon, affecting approximately 3.3 per 1000 people.2 The etiology of macular hole varies, but the most common origin is idiopathic. In a series from 1982, 83% of macular holes were classified as idiopathic, and only 15% were secondary to trauma (usually blunt).3 Full-thickness macular holes have also rarely been associated with other conditions, including proliferative diabetic retinopathy, optic disc coloboma, high myopia, choroidal neovascularization, Best's disease, adult vitelliform macular degeneration, retinal arteriovenous communication, scleral buckling for retinal reattachment, pneumatic retinopexy for retinal reattachment, perforating retrobulbar injections, and topical pilocarpine.

The Eye Disease Case-Control Study Group4 attempted to identify possible risk factors for idiopathic macular holes. Of 198 study patients who were identified with macular holes, 143 (72%) were women. The only other statistically significant risk factors for macular holes identified by this study were high plasma fibrinogen levels (greater than 2.95 g/L) and a prior history of glaucoma. Estrogen use was negatively associated with risk of macular hole. The explanations for these findings are speculative. The Eye Disease Case-Control Study Group did not examine two ocular characteristics that have previously been associated with macular hole formation: macular retinal pigment epithelial changes (involutional macular thinning) and macular vitreous attachment.5

Back to Top
PATHOGENESIS
The pathogenesis of macular holes has been the subject of much debate and controversy. Historically, three basic theories on the origin of macular holes have been proposed: the traumatic theory, the cystoid degeneration and vascular theory, and the vitreous theory.6

Knapp's1 original description of a macular hole described a patient with ocular trauma. Two years later Noyes7 provided the first accurate and detailed ophthalmoscopic description of a macular hole that was secondary to blunt trauma in a 13-year-old girl (Fig. 1). These and other early case studies led most observers to attribute macular holes to ocular trauma. Presumably, blunt ocular trauma could cause immediate macular hole formation from mechanical energy created by vitreous fluid waves and contrecoup macular necrosis or laceration.

Fig. 1. Traumatic macular hole. Note the irregularly shaped hole and the retinal pigmented epithelial (RPE) changes signifying prior trauma to the eye.

The first histopathologic descriptions of full-thickness macular holes were provided by Fuchs (1901)8 and Coats (1907)9 and supported a cystic degeneration theory of macular hole formation. Coats noted cystic intraretinal changes adjacent to the macular hole and surmised that it was the coalescence of these intraretinal cysts that led to the formation of the macular hole. He further recognized that this macular cystoid degeneration did not occur exclusively in patients with a history of ocular trauma.

The recognition of atraumatic macular cystoid degeneration and atraumatic macular holes led to the theory that cystoid degeneration was the final common pathway toward macular hole formation. Both Coats and Kuhnt10 believed that age-related changes in the retinal vasculature led to cystoid degeneration and were responsible for the atraumatic macular hole. This vascular theory of idiopathic macular hole was sometimes characterized as ocular angiospasm.11

The vitreous theory of macular hole formation was initially proposed by Lister12 in 1912. Lister theorized that anteroposterior fibrous vitreous traction bands were the cause of macular holes. Beginning in the 1960s, clinical and histopathologic studies began to highlight the relationship of the vitreous and macula in eyes with macular holes. Current theories of macular hole pathogenesis continue to be altered and refined, but nearly all continue to recognize the predominant role of the vitreous in macular hole formation.

In 1988, Gass13 proposed a classification system for idiopathic macular holes, as well as a new hypothesis concerning their pathogenesis, suggesting that tangential vitreoretinal traction is responsible for hole formation. In 1995, Gass14 provided an updated biomicroscopic classification and anatomic interpretation of macular hole formation (Fig. 2).

Fig. 2. Stages of development of an idiopathic macular hole. A. Normal fovea. Layer of vitreous (VC) lying on internal limiting membrane of retina. B. Stage 1A impending hole. Early contraction of outer part of vitreous cortex with foveolar detachment. C. Stage 1B impending hole. Further vitreous contraction and condensation of the prefoveolar vitreous cortex with foveal detachment. D and E. Stage 1B occult hole. Dehiscence of the retinal receptor layer at the umbo with centrifugal retraction of the retinal receptors. F. Stage 2 hole with early separation of condensed prefoveolar vitreous cortex with formation of pseudo-operculum that is larger than the hole. G. Stage 2 hole with tear in vitreous cortex at junction of the prefoveolar vitreous cortex and edge of macular hole. H. Stage 3 hole with pseudo-operculum. I. Stage 4 hole after posterior vitreous separation. (From Gass JD. Reappraisal of biomicroscopic classification of stages of development of a macular hole. Am J Ophthalmol 1995;119:752.)

Spontaneous tangential contraction of prefoveolar cortical vitreous detaches the foveolar retina, creating a yellow spot approximately 100 to 200 μm in diameter (stage 1A impending hole). The yellow color is felt to represent foveal intraretinal xanthophyll pigment (Fig. 3). As the foveal retina is elevated to the level of the surrounding perifoveal retina, the retinal receptor layer is stretched, and the yellow spot changes into a small donut-shaped yellow ring (stage 1B impending hole). Eventually, this thinned foveolar retina breaks at the umbo, and the surrounding retinal receptors, nerve fibers, and xanthophyll retract centrifugally, enlarging the ring (stage 1B occult hole, Fig. 4).

Fig. 3. Stage 1A impending hole. Note the subtle yellow spot in the fovea.

Fig. 4. Stage 1B impending hole/occult hole. Note the small donut shaped yellow ring, which develops as the retinal receptors retract centrifugally.

Soon after, spontaneous vitreofoveal separation may occur. The contracted prefoveolar vitreous cortex (now detached from the underlying retina) may become visible as a semitranslucent prehole opacity (pseudo-operculum) lying anterior to a small foveolar hole. This condition is classified as a stage 2 full-thickness macular hole (Fig. 5).

Fig. 5. Stage 2 macular hole.

Centrifugal retraction of foveolar retinal receptors continues to enlarge the diameter of the hole; Gass suggested that any hole 400 μm or larger should be classified as a stage 3 macular hole (Fig. 6).

Fig. 6. Stage 3 macular hole. Note the yellow clumps of presumed glial cells in the base of the macular hole and the cuff of subretinal fluid. In the presence of a complete posterior vitreous separation, this would be classified as a stage 4 hole.

After separation of the vitreous from the entire macula and optic disc, the hole is classified as stage 4, regardless of its diameter.

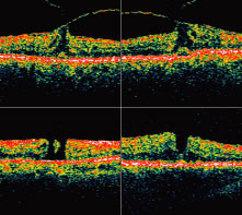
Recently, the introduction of optical coherence tomography (OCT) has allowed researchers to study the exact relationship between the vitreous and fovea in the development of macular holes. OCT is analogous to ultrasound but measures optical, rather than acoustic, reflectivity (Fig. 7). The higher frequency of light waves compared with acoustic waves allows for a much higher longitudinal resolution (10 μm vs. 150 μm).

Fig. 7. Optical coherence tomography. Vitreofoveal traction is visible in the two upper images. The two lower images show full-thickness macular holes of varying sizes. Note the subretinal fluid visible in the lower right image.

OCT evidence suggests that in most macular holes, the first step is actually the formation of a foveal pseudocyst (splitting of the retina at the fovea). It is postulated that anterior tractional forces from the prefoveal vitreous cortex cause this pseudocyst to form. The anterior wall of this cyst serves as a flap in stage 2 holes and as an operculum in stage 3 holes.15,16

Back to Top
HISTOPATHOLOGY
Two large histopathologic series have been reported on macular holes.17,18 Histopathologic examination of full-thickness macular holes demonstrates round or oval retinal defects surrounded by rounded retinal edges and a cuff of detached neurosensory retina with subretinal fluid (Fig. 8). In the most recent series, 79% demonstrated cystoid macular edema and 68% had epiretinal membranes. Photoreceptor atrophy was variable (200 to 750 μm, mean 480 μm, from the edge of the retinal margin) in this group of globes, some of which had long-standing macular holes. In some of the eyes, a thin tapered layer of cortical vitreous was noted that may have caused traction on the edges of the macular hole.

Fig. 8. Pathology specimen of full-thickness macular hole. In this slide, there is an associated macular retinal detachment (artifactitious) and photoreceptor atrophy (Hematoxylin and eosin, × 35.) (From Guyer DR, Green WR et al. Histopathologic features of idiopathic macular holes and cysts. Ophthalmology 1990;97:1045.)

The histopathology of lamellar macular holes has also been described.19 Lamellar holes are characterized by a partial loss of neurosensory retina, which looks like a sharply circumscribed round or petal-shaped red depression in the inner retinal surface. In half of these eyes, there was evidence of a thin layer of epicortical vitreous membrane causing tangential traction.

Back to Top
DIAGNOSIS
Many macular lesions simulate macular holes or macular hole precursor lesions (stage 1A and 1B). In differentiating between the different entities, the most valuable clinical tool remains a careful contact lens biomicroscopic evaluation of the lesion.20 Clinical diagnostic tests for discriminating full-thickness macular holes from other lesions include the Watzke-Allen slit beam test and the laser aiming-beam test.

The Watzke-Allen test is performed at the slit-lamp biomicroscope by using a macular lens and placing a narrow vertical slit beam through the fovea. A positive test is noted when the patient detects a break in the bar of light. Most patients with a full-thickness macular hole report a positive Watzke-Allen test.21

The laser aiming-beam test is performed similarly using a macular lens and placing a 50 μm laser-photocoagulator aiming beam within the presumed macular hole. A positive test is observed when the patient cannot detect the aiming beam within the lesion but is able to detect it in surrounding intact tissue. This test is possibly more sensitive and more specific for full-thickness macular holes.22

Recently, OCT has shown great potential in the diagnosis of macular disease, including macular hole.23,24 OCT may be even more sensitive than contact lens biomicroscopy in detecting certain macular lesions.25

Other diagnostic tests are generally less useful in detecting macular holes or distinguishing between macular holes and other simulating lesions. Amsler grid abnormalities are sensitive to macular lesions but are not specific to macular hole lesions. Macular holes do not cause absolute scotomas detectable by Amsler grid testing.26 Fluorescein angiography may demonstrate early central hyperfluorescence in both true holes (79%)27 and pseudomacular holes (63%),28 and therefore is generally not a useful adjunct in distinguishing these lesions. Likewise, B-scan ultrasonography is generally not sensitive enough to distinguish macular holes from masquerading lesions.

Back to Top
DIFFERENTIAL DIAGNOSIS
Several conditions may clinically resemble macular hole lesions and premacular hole lesions (Table 1). The most common lesions simulating a full-thickness macular hole are epiretinal membranes with pseudomacular hole, impending macular holes, and lamellar macular holes.29–33 Pseudomacular holes associated with epiretinal membranes have a median visual acuity of 20/30 and retinal vascular tortuosity and compression.34 They are not associated with a rim of subretinal fluid. Lamellar macular holes are sharply circumscribed, partial-thickness defects of the macula representing either aborted full-thickness lesions or a complication of chronic cystoid macular edema.35,36 They are characterized by a flat, reddish hue-type lesion with intact outer retinal tissue. Careful evaluation will reveal retinal tissue in the base of the lesion and no evidence of subretinal fluid. Lamellar macular holes do not progress to full-thickness lesions. Distinguishing features of true macular holes are drusen-like yellowish deposits in the base of the hole, a cuff of subretinal fluid, a distinct margin around the hole, and an overlying pseudo-operculum.37 Patients with pseudomacular holes report a negative Watzke-Allen sign and can see a laser aiming beam when it is directed within the lesion.

 

TABLE 1. Differential Diagnosis of Macular Hole and Premacular Hole

  Macular Hole
  Epiretinal membrane with pseudomacular hole
  Lamellar macular hole
  Chronic cystoid macular edema
  Impending macular hole (stages 1A and 1B)
  Premacular Hole
  Pseudo-opercula
  Vitreomacular traction
  Cystoid macular edema
  Central serous retinopathy
  Central druse
  Pattern of vitelliform dystrophy
  Solar maculopathy
  Inflammatory maculopathy

 

Premacular hole lesions (stage 1A) are also simulated by a wide variety of other macular lesions. Simulating yellow macular lesions are observed in pseudo-opercula,38 vitreomacular traction, cystoid macular edema, macular neurosensory elevations such as in central serous retinopathy, degenerations of the retinal pigment epithelium demonstrating drusen, vitelliform and pattern dystrophy lesions, acute solar maculopathy, posttraumatic maculopathy,39 and occasional inflammatory or infectious chorioretinopathies. Macular yellow rings (stage 1B) are rarely simulated by any disorder other than a stage 2 hole.

Key clinical features of true stage 1 macular hole lesions are a yellow intraretinal spot or ring, loss of the foveal depression without significant elevation above the surrounding tissue, and an absence of vitreofoveal separation. Vitreomacular traction often demonstrates elevation of foveal tissue above the plane of the retina. Lesions of stages 1A and 1B are not accompanied by extrafoveal serous macular elevation, as is observed in central serous retinopathy. Central drusen and pattern lesions are at the level of the retinal pigment epithelium, whereas the yellow lesions of stages 1A and 1B are intraretinal. The only yellow lesions that evolve from a yellow foveal cystic lesion to a yellow ring are stage 1 premacular holes.20

Back to Top
NATURAL HISTORY
The natural history of macular holes is important in determining patient prognosis, as well as in the timing of macular hole repair. Early macular holes and premacular hole lesions often regress or abort spontaneously but larger full-thickness holes rarely do so.

The visual acuity in stage 1 lesions ranges between 20/25 and 20/80. The Vitrectomy for Prevention of Macular Hole Study Group reported that only 14 (40%) of 35 patients with stage 1 holes progressed to a full-thickness macular hole over a 2-year follow-up period.40 Furthermore, subgroup analysis of this data showed that this risk was inversely proportional to the initial visual acuity. Patients with best-corrected visual acuity between 20/25 and 20/40 had a 30% risk of progression during the follow-up period, whereas patients with best-corrected visual acuity between 20/50 and 20/80 had a 66% risk.41

Stage 2 full-thickness macular holes are far less likely to resolve spontaneously; indeed most eventually progress to stage 3 or 4 macular holes. The most optimistic study reported a 33% resolution rate, with 67% progressing to larger stage 3 and 4 lesions.42 Hikichi and colleagues43 reported a series of 48 eyes with stage 2 macular holes and found that only 4% of the lesions remained in stage 2; 96% of the eyes progressed to stages 3 or 4. No eye demonstrated resolution during a mean follow-up period of 4 years (range: 2 to 8 years). Worsening of best-corrected visual acuity of two or more Snellen lines occurred in 71% of eyes. Most stage 2 holes progress and enlarge to stage 3 or 4 within 6 months.

Most full-thickness macular holes greater than 400 μm (stages 3 and 4) retain peripheral vision but suffer loss of central vision to the level of 20/100 or worse, typically 20/100 to 20/400.44 A minority of these will continue to undergo progressive loss of central visual acuity.45 Continuing visual deterioration may be related to chronic subretinal fluid, cystoid retinal changes, or photoreceptor atrophy. Less commonly, progressive loss of central and then peripheral vision is related to a progressive retinal detachment. This is most commonly associated with myopia of 6 diopters (D) or greater.46–48

Occasionally, spontaneous retinal reattachment and visual improvement may occur. The mechanism of spontaneous reattachment is unclear, although it may be associated with formation of an epiretinal membrane.49,50 The mechanism of visual recovery after spontaneous reattachment may be similar to that after successful surgical repair.51

Patients with a unilateral macular hole are understandably concerned about the prognosis of their fellow eye. The risk of development of idiopathic macular holes in fellow eyes has been reported to be from 3% to 22%.52,53 The Eye Disease Case-Control Study found that 7.1% of patients had new macular holes in their fellow eyes after 6 or more years of follow-up.4 However, a recent prospective analysis conducted at Moorfields Eye Hospital, London, England, estimated the risk of fellow eye involvement to be 15.6% at 5 years.54

Back to Top
MANAGEMENT
In July 2001, the American Academy of Ophthalmology released an Ophthalmology Technology Assessment specifically addressing the surgical management of macular holes.55 The Academy concluded that evidence from randomized, prospective clinical trials supports surgery for patients with full-thickness macular holes in stages 2,56 3, or 4.57 The report does not recommend surgery for patients with stage 1 macular holes40, nor does it recommend the use of adjuvant therapy during surgery.

The standard surgery for repair of macular hole was described by Kelly and Wendel58 in 1991 and involves a standard three-port pars plana vitrectomy, with removal of cortical vitreous and any epiretinal membrane. The surgical goal is to remove enough of the surrounding membrane, when present, to relieve traction that could prevent flattening of the edges of the macular hole. A total air-fluid gas exchange is performed to desiccate the vitreous cavity; this is followed by a gas-air exchange using a nonexpansile concentration of a long-acting gas (e.g., 16% C3F8).59 Strict face-down positioning to encourage contact of the gas bubble against the macular hole for at least 1 week (and as long as 3 or 4 weeks) is as important as the technical components of the procedure. This requirement may be difficult or impossible for some patients to comply with and may be a consideration in determining surgical candidacy. One pilot study, however, has suggested that comparable anatomic success may be achieved without such rigorous positioning.60

There is considerable debate regarding adjunctive therapy in macular hole repair. Additives applied to the site of the macular hole in hopes of stimulating a cellular reparative response have included autologous serum,61 autologous platelet concentrate (APC),62 thrombin-activated fibrinogen,63 thrombin,64 transforming growth factor beta-2 (TGFΒ2),65 and tissue glue.66 Of these, well-designed controlled trials, or cohort or case-control analytic studies, have been reported only for TGFΒ2,67,68 and APC.69 Though promising, the data on these adjuvants are sometimes conflicting, and it is too early to make specific recommendations regarding their use.

Another potentially helpful adjunct to the repair of macular holes is peeling of the internal limiting membrane (ILM) at the time of surgery.63 The ILM can be removed using a microbarbed microvitreoretinal blade or diamond-dusted silicone cannula to create a surgical plane, which is then stripped with fine end-gripping tissue forceps. The evidence regarding the potential benefit from this procedure, however, remains equivocal. Some studies suggest that ILM peeling improves both anatomic and visual success rates.70,71 In contrast, Margherio and colleagues72 used a large retrospective cohort study to compare patients with and without preretinal/ILM peeling and concluded that there was no statistically significant difference between the two cohorts. In addition, complications from ILM peeling include longer surgery time (and thus greater phototoxicity), perifoveal capillary bleeding, and retinal whitening.71

Intraocular indocyanine green (ICG) dye has recently been used to facilitate the visualization of the ILM during peeling procedures. ICG staining improves the visibility and, thus, the ease of stripping of the ILM, but recent studies suggest that it may also cause retinal damage.73,74 The long-term sequelae of ICG staining remain unknown.

The success rate of macular hole surgery has improved dramatically since the landmark pilot study reported by Kelly and Wendel58 in 1991. This initial article reported a 58% anatomic success rate, with 73% of these patients showing an improvement in visual acuity of two lines or better (42% overall). Recent reports on acute (less than 6 months) idiopathic macular holes are showing anatomic success rates from 89% to 100% and improvement in visual acuity of two or more lines in 72% to 95% of patients.71,72,75

There are several well-described complications that may occur after macular hole repair. Acute complications include retinal tears76 and endophthalmitis.77,78 Long-term complications include nuclear sclerotic cataract in the vast majority of phakic patients,79 and retinal detachment in 1% to 3% of patients.77,78 In addition, there is a 2% to 10% risk of a repaired macular hole reopening at a later date.80–82 Less frequent surgical complications that have been reported include enlargement of the hole,77 photic toxicity or retinal pigment epithelial alterations,83,84 exudative retinal detachment,85 glaucoma,86 proliferative vitreoretinopathy,87 and dense wedge-shaped temporal visual field defects (likely resulting from dehydration injury during fluid-air exchange, Fig. 9).88,89

Fig. 9. Humphrey visual field of a left eye following surgical repair of macular hole. Note the dense defect in the inferotemporal quadrant.

Back to Top
SUMMARY
A macular hole is a full-thickness defect of retinal tissue involving the anatomic fovea and, primarily, the foveola of the eye. It may be associated with trauma in young eyes, but age-related idiopathic macular holes in older adults compose most of these lesions. There is a strong female predominance (roughly 3:1).

The pathogenesis of macular holes remains controversial but likely involves tangential and/or anteroposterior vitreous traction on the fovea.

Diagnosis continues to rely largely on clinical examination with contact lens biomicroscopy. New imaging modalities such as OCT hold great promise in helping to confirm the diagnosis of macular holes and other macular lesions.

The natural history of macular hole lesions varies by stage. Stage 1 lesions have a reasonably good chance of remaining stable or aborting (60%). This risk is inversely related to initial visual acuity; patients with worse initial visual acuity (less than 20/40) have an increased chance of progressing to stage 2 holes. The majority of stage 2 holes (67% to 98%) progress to stage 3 or 4 macular holes. Uncommonly (5% to 12%) full-thickness macular holes demonstrate spontaneous flattening, with subsequent improvement in vision. Fellow eyes of patients with macular holes are also at increased risk of developing macular holes (probably 7% to 15%).

The management of macular hole has evolved from an untreatable condition to a microsurgical procedure with considerable potential success. The American Academy of Ophthalmology has recently released guidelines regarding the timing and surgical management of macular holes, but the report leaves open questions regarding the potential benefit of adjuvant therapies and ILM peeling. Future studies will be necessary to elucidate the potential role of these additional treatment measures, if any.

Back to Top
REFERENCES

1. Knapp. Uber isolierite zerreissungen der aderhaut in folge von traumen auf dem augapfel. Arch Aug Ohrenheilk 1869;1:6

2. Fine, S. Discussion, Macular Holes. Ophthalmology 1993;100:871

3. McDonnell PJ, Fine SL, Hillis AI. Clinical features of idiopathic macular cysts and holes. Am J Ophthalmol 1982;93:777

4. Eye Disease Case-Control Study Group. Risk factors for idiopathic macular holes. Am J Ophthalmol 1994;118:754

5. Morgan CM, Schatz H. Involutional macular thinning. A pre-macular hole condition. Ophthalmology 1986;93:153

6. Aaberg TM. Macular holes: A review. Surv Ophthalmol 1970;15:139

7. Noyes HD. Detachment of the retina, with laceration at the macula lutea. Trans Am Ophthal Soc 1871;1:128

8. Fuchs E. Zur Veranderung der Macula Lutea Nach Contusion. Ztschr Augenheilk 1901;6:181

9. Coats G. The pathology of macular holes. Roy Lond Hosp Rep 1907;17:69

10. Kuhnt H. Uber Eine Eigenthumliche Veranderung der Netzhaut ad Maculam (Retinitis Atrophicans Sive Rareficans Centralis). Ztschr Augenheilk 1900;3:105

11. Gifford SR. An evaluation of ocular angiospasm. Trans Am Ophthalmol Soc 1943;48:19

12. Lister W. Holes in the retina and their clinical significance. Br J Ophthalmol 1924;8:1

13. Gass JDM. Idiopathic senile macular hole: Its early stages and pathogenesis. Arch Ophthalmol 1988;106:629

14. Gass JDM. Reappraisal of biomicroscopic classification of stages of development of a macular hole. Am J Ophthalmol 1995;119:752

15. Kishi S, Takahashi H. Three-dimensional observations of developing macular holes. Am J Ophthalmol 2000;130:65

16. Haouchine B, Massin P, Gaudric A. foveal pseudocyst as the first step in macular hole formation. Ophthalmology 2001;108:15

17. Guyer DR, Green WR, de Bustrus S et al. Histopathologic features of idiopathic macular holes and cysts. Ophthalmology 1990;97:1045

18. Frangieh GT, Green WR, Engel HM. A histopathologic study of macular cysts and holes. Retina 1981;1:311

19. Gass JD. Lamellar macular hole: A complication of cystoid macular edema after cataract extraction. Arch Ophthalmol 1976;94:793

20. Ho AC, Guyer DR, Fine SL. Macular hole. Surv Ophthalmol 1998;42:393

21. Watzke RC, Allen L. Subjective slitbeam sign for macular disease. Am J Ophthalmol 1969;68:449

22. Martinez J, Smiddy WE, Kim J et al. Differentiating macular holes from macular pseudoholes. Am J Ophthalmol 1994;117:762

23. Hee MR, Puliafito CA, Wong C et al. Optical coherence tomography of macular holes. Ophthalmology 1995;102:748

24. Puliafito CA, Hee MR, Lin CP et al. Imaging of macular diseases with optical coherence tomography. Ophthalmology 1995;102:217

25. Gallemore RP, Jumper JM, McCuen BW II et al. Diagnosis of vitreoretinal adhesions in macular disease with optical coherence tomography. Retina 2000;20:115

26. Smith RG, Hardman LSJ, Galloway NR. Visual performance in idiopathic macular holes. Eye 1990;4:190

27. Thompson JT, Hiner CJ, Glaser BM et al. Fluorescein angiographic characteristics of macular holes before and after vitrectomy with transforming growth factor beta-2. Am J Ophthalmol 1994;117:291

28. Klein BR, Hiner CJ, Glaser BM et al. Fundus photographic and fluorescein angiographic characteristics of pseudoholes of the macula in eyes with epiretinal membranes. Ophthalmology 1995;102:768

29. Allen AW, Gass JD. Contraction of a perifoveal epiretinal membrane simulating a macular hole. Am J Ophthalmol 1976;82:684

30. Gass JD, Joondeph BC. Observations concerning patients with suspected impending macular holes. Am J Ophthalmol 1990;109:638

31. Guyer DR, Green WR. Idiopathic macular holes and precursor lesions. Proceedings of the Symposium on Retina and Vitreous, New Orleans Academy of Ophthalmology. New York, Kugler Publications, 1993:135–162.

32. Klein BR, Hiner CJ, Glaser BM et al. Fundus photographic and fluorescein angiographic characteristics of pseudoholes of the macula in eyes with epiretinal membranes. Ophthalmology 1995;102:768

33. Slezak H. On findings resembling holes and cysts of the posterior pole. Graefes Arch Klin Exp Ophthalmol 1967;173:168

34. Fish RH, Arnand R, Izbrand DJ. Macular pseudoholes. Clinical features and accuracy of diagnosis. Ophthalmology 1992;99:1665

35. Gass JD. Lamellar macular hole: A complication of cystoid macular edema after cataract extraction. Arch Ophthalmol 1976;94:793

36. Patel B, Duvall J, Tullo AB. Lamellar macular hole associated with idiopathic juxtafoveolar telangiectasia. Br J Ophthalmol 1988;72:550

37. Smiddy WE, Gass JD. Masquerades of macular holes. Ophthalmic Surg 1995;26:16

38. Gass JD, VanNewkirk M. Xanthic scotoma and yellow foveolar shadow caused by a pseudo-operculum after vitreofoveal separation. Retina 1992;12:242

39. Gross JG, Freeman WR. Posttraumatic yellow maculopathy. Retina 1990;10:37

40. de Bustros S. Vitrectomy for prevention of macular holes. Results of a randomized multicenter clinical trial. Vitrectomy for Prevention of Macular Hole Study Group. Ophthalmology 1994;101:1055

41. Kokame GT, de Bustros S. Visual acuity as a prognostic indicator in stage 1 macular holes. The Vitrectomy for Prevention of Macular Hole Study Group. Am J Ophthalmol 1995;120:112

42. Guyer DR, de Bustros S, Diener WM et al. Observations on patients with idiopathic macular holes and cysts. Arch Ophthalmol 1992;110:1264

43. Hikichi T, Yoshida A, Akiba J et al. Prognosis of stage 2 macular holes. Am J Ophthalmol 1995;119:571

44. James M, Feman SS. Macular holes. Graefes Arch Clin Exp Ophthalmol 1980;215:59

45. Hikichi T, Yoshida A, Akiba J et al. Natural outcomes of stage 1, 2, 3, and 4 idiopathic macular holes. Br J Ophthalmol 1995;79:517

46. Aaberg TM. Macular holes. Am J Ophthalmol 1970;69:555

47. Mikuni M, Kobayashi S, Yaoeda H. Treatment of retinal detachment with macular hole. Nippon Ganka Kiyo 1967;18:659

48. Yaoeda H. Clinical observation on macular hole. Nippon Ganka Gakkai Zasshi 1967;71:1723

49. Bidwell AE, Jampol LM. Macular holes and excellent visual acuity. Arch Ophthalmol 1988;106:1350

50. Lewis H, Cowan GM, Straatsma BR. Apparent disappearance of a macular hole associated with development of an epiretinal membrane. Am J Ophthalmol 1986;102:172

51. Sjaarda RN, Frank DA, Glaser BM et al. Resolution of an absolute scotoma and improvement of relative scotomata after successful macular hole surgery. Am J Ophthalmol 1993;116:129

52. Akiba J, Kakehashi A, Arzabe CW et al. Fellow eyes in idiopathic macular hole cases. Ophthalmic Surg 1992;23:594

53. Bronstein MA, Trempe CL, Freeman HM. Fellow eyes with macular holes. Am J Ophthalmol 1981;92:757

54. Ezra E, Wells JA, Gray RH et al. Incidence of idiopathic full-thickness macular holes in fellow eyes: A 5-year prospective natural history study. Ophthalmology 1998;105:353

55. Benson WE, Cruickshanks KC, Fong DS et al. Surgical management of macular holes. A report by the American Academy of Ophthalmology. Ophthalmology 2001;108:1328

56. Kim JW, Freeman WR, Azen SP et al. Prospective randomized trial of vitrectomy or observation for stage 2 macular holes. Am J Ophthalmol 1996;121:605

57. Freeman WR, Azen SP, Kim JW et al. Vitrectomy for the treatment of full-thickness stage 3 or 4 macular holes. Results of a multicentered randomized clinical trial. Arch Ophthalmol 1997;115:11

58. Kelly NE, Wendel RT. Vitreous surgery for idiopathic macular holes. Results of a pilot study. Arch Ophthalmol 1991;109:654

59. Thompson JT, Smiddy WE, Glaser BM et al. Intraocular tamponade duration and success of macular hole surgery. Retina 1996;16:373

60. Tornambe PE, Poliner LS, Grote K. Macular hole surgery without face-down positioning. A pilot study. Retina 1997;17:179

61. Liggett PE, Skolik DS, Horio B et al. Human autologous serum for the treatment of full-thickness macular holes. A preliminary study. Ophthalmology 1995;102:1071

62. Gaudric A, Massin P, Paques M et al. Autologous platelet concentrate for the treatment of full-thickness macular holes. Graefes Arch Clin Exp Ophthalmol 1995;233:549

63. Olsen TW, Sternberg P Jr, Capone A Jr et al. Macular hole surgery using thrombin-activated fibrinogen and selective removal of the internal limiting membrane. Retina 1998;18:322

64. Vine AK, Johnson MW. Thrombin in the management of full-thickness macular holes. Retina 1996;16:474

65. Glaser BM, Michels RG, Kuppermann BD et al. Transforming growth factor beta-2 for the treatment of full-thickness macular holes: A prospective and randomized study. Ophthalmology 1992;99:1162

66. Tilanus MA, Deutman AE. Full-thickness macular holes treated with vitrectomy and tissue glue. Int Ophthalmol 1994-1995;18:355

67. Smiddy WE, Glaser BM, Thompson JT et al. Transforming growth factor-beta 2 significantly enhances the ability to flatten the rim of the subretinal fluid surrounding macular holes. Preliminary anatomic results of a multicenter prospective randomized study. Retina 1993;13:296

68. Thompson JT, Smiddy WE, Williams GA et al. Comparison of recombinant transforming growth factor-beta-2 and placebo as an adjunctive agent for macular hole surgery. Ophthalmology 1998;105:700

69. Paques M, Chastang C, Mathis A et al. Effect of autologous platelet concentrate in surgery for idiopathic macular hole: Results of a multicenter, double-masked, randomized trial. Platelets in Macular Hole Surgery Group. Ophthalmology 1999;106:932

70. Park DW, Sipperley JO, Sneed SR et al. Macular hole surgery with internal-limiting membrane peeling and intravitreal air. Ophthalmology 1999;106:1392

71. Brooks HL Jr. Macular hole surgery with and without internal limiting membrane peeling. Ophthalmology 2000;107:1939

72. Margherio RR, Margherio AR, Williams GA et al. Effect of perifoveal tissue dissection in the management of acute idiopathic full-thickness macular holes. Arch Ophthalmol 2000;118:495

73. Gandorfer A, Haritoglou C, Gass C et al. Indocyanine green-assisted peeling of the internal limiting membrane may cause retinal damage. Am J Ophthalmol 2001;132:431

74. Sippy BD, Engelbrecht NE, Hubbard GB. Indocyanine green effect on cultured human retinal pigment epithelial cells: Implications for macular hole surgery. Am J Ophthalmol 2001;132:433

75. Smiddy WE, Feuer W, Cordahi G. Internal limiting membrane peeling in macular hole surgery. Ophthalmology 2001;108:1471

76. Sjaarda RN, Glaser BM, Thompson JT et al. Distribution of iatrogenic retinal breaks in macular hole surgery. Ophthalmology 1995;102:1387

77. Park SS, Marcus DM, Duker JS et al. Posterior segment complications after vitrectomy for macular hole. Ophthalmology 1995;102:775

78. Banker AS, Freeman WR, Kim JW et al. Vision-threatening complications of surgery for full-thickness macular holes. Vitrectomy for Macular Hole Study Group. Ophthalmology 1997;104:1442

79. Thompson JT, Glaser BM, Sjaarda RN et al. Progression of nuclear sclerosis and long-term visual results of vitrectomy with transforming growth factor beta-2 for macular holes. Am J Ophthalmol 1995;119:819

80. Duker JS, Wendel R, Patel AC et al. Late re-opening of macular holes after initially successful treatment with vitreous surgery. Ophthalmology 1994;101:1373

81. Paques M, Massin P, Blain P et al. Long-term incidence of reopening of macular holes. Ophthalmology 2000;107:760

82. Christmas NJ, Smiddy WE, Flynn HW Jr. Reopening of macular holes after initially successful repair. Ophthalmology 1998;105:1835

83. Poliner LS, Tornambe PE. Retinal pigment epitheliopathy after macular hole surgery. Ophthalmology 1993;99:1671

84. Duker JS. Retinal pigment epitheliopathy after macular hole surgery [Letter]. Ophthalmology 1993;100:1604

85. Akduman L, Del Priore LV, Kaplan HJ. Exudative retinal detachment as a complication of macular hole surgery. Ophthalmology 1996;103(Suppl):124.

86. Chen CJ. Glaucoma after macular hole surgery. Ophthalmology 1998;105:94

87. Coll GE, Chang S, Lewis H. Macular hole surgery and proliferative vitreoretinopathy. Ophthalmology 1996;103(Suppl):125

88. Welch JC. Dehydration injury as a possible cause of visual field defect after pars plana vitrectomy for macular hole. Am J Ophthalmol 1997;124:698

89. Ohji M, Nao-I N, Saito Y et al. Prevention of visual field defect after macular hole surgery by passing air used for fluid-air exchange through water. Am J Ophthalmol 1999;127:62

Back to Top