最新公告:

  没有公告

您现在的位置: 心灵之窗-眼科医生网 >> 眼科知识 >> 眼科医生 >> 病例探讨 >> 正文
专题栏目
更多内容
相关文章
更多内容
[组图]疑难病历讨论(求教)       
疑难病历讨论(求教)
作者:毛进 文章来源:本站原创 点击数:12768 更新时间:2003/6/19 0:33:59

 

(这条文章已经被阅读了 136 次) 时间:2003/06/03 11:47pm  来源:huangdisk

此主题相关图片如下:
按此在新窗口浏览图片


[这个贴子最后由huangdisk在 2003/06/09 05:20pm 编辑]

疑难病历讨论
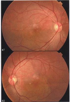
 患者女性,51岁,因双眼视朦2年入院。患者2年前无明显诱因开始双眼视朦,呈渐进性,无眼痛、头痛、复视,无视物变形,眼前暗影,在当地诊治效果不佳。过去史、家族史:无特殊。入院体检:生命体征正常,心肺腹检查无异常。Vod0.1,os0.2,加镜无提高。双眼角膜,前房清,双瞳孔3*3MM,光反应存。晶体轻浊,玻璃体轻度浑浊,双眼视盘边清,色泽正常,C/D=0.3。黄斑区色素紊乱,金箔样反光,可见小点状灰白渗出,中心凹反光消失,未见新生血管及出血,视网膜平伏,眼压正常。FFA:右眼:1视盘旁颞侧色素脱失,脉络膜毛细血管萎缩2后极部多灶性色素上皮损害。其中三处荧光素渗漏,湖状积存。左眼:1.视盘旁颞侧色素脱失及色素增殖,2.后极部多灶性色素上皮损害,其中四处荧光素渗漏,湖状积存。ICG:中,后期后极部多灶性脉络膜血管吲哚青绿渗漏。视野:双眼中央部光敏度下降。颅脑、眼部MRI:左侧海绵窦下部低信号不均匀(考虑炎症?).大、小脑、垂体及眼球,视神经等部均未见异常,胸片、血糖、肾功能等均正常。初步诊断:双眼黄斑病变(中心性浆液性视网膜脉络膜病变—多发性中浆)。入院后予血栓通、芦丁C、维生素B族、CTP、肌苷等对症、支持治疗,并行双眼视网膜光凝术,封闭双眼黄斑区渗漏点。经治疗后视力无提高,症状,体征无明显改善。提请各眼科同道及专家,对本病的诊断、鉴别诊断及治疗提供宝贵的意见,以期提高患者的视力。谢谢!
 下附图片
             广东江门市中心医院眼科  伍宇华(wwypt@pup.jiangmen.gd.cn)
                             



打包下载]   [引用该文]   [发表评论]   [转寄该文]   [关闭窗口
此文章相关评论:
该文章有17个相关评论如下:(点这儿论坛方式查看)

huangdisk 发表于: 2003/06/03 11:49pm
相关图片如下:
按此在新窗口浏览图片

上接图片:
 顶部
huangdisk 发表于: 2003/06/03 11:50pm
相关图片如下:
按此在新窗口浏览图片

图片:
 顶部
huangdisk 发表于: 2003/06/03 11:51pm
相关图片如下:
按此在新窗口浏览图片

还有:
 顶部
huangdisk 发表于: 2003/06/03 11:51pm
相关图片如下:
按此在新窗口浏览图片

视野结果:
 顶部
毛进" target=_blank>毛进 发表于: 2003/06/04 08:20pm
毛进赠与楼主huangdisk300 Union 以示鼓励支持

内容资料翔实,很不错!先支持一下!!!
 顶部
yoshiki 发表于: 2003/06/04 10:28pm
感觉不像中浆,暂时没有想法,让我去查查看。
提问:
Vod1.0,os0.2?搞错了吧?应该双眼对称吧。
玻璃体轻度浑浊,那有无细胞?
目前认为黄斑部病变是继发于这些渗漏造成的,象脉络膜的炎症。MRI和视野没相关的异常。
 顶部
stonel 发表于: 2003/06/04 11:00pm
是不是排除一下后极部多发性鳞状色素上皮病变?
我曾经有过这样一个病理,在多发中浆和色素上皮病变的鉴别上徘徊了一番,最后是对激素治疗反映良好,视力动0.2迅速提高到0.8。
 顶部
毛进 发表于: 2003/06/05 01:09am
查资料学习中,我印象中有一个病叫“脉络膜息肉样病变”,眼底图上后极部的改变有点象。
 顶部
huangdisk 发表于: 2003/06/06 07:24pm
sorry!!!右眼视力应该是0.1。谢谢各位专家同仁的宝贵见解!
 顶部
毛进 发表于: 2003/06/06 10:05pm
今天我们几位同事看了一下,大家有下面的看法:
M医生:从FFA来看,患者表现为弥漫性或多灶性的色素上皮层的病变,ICGA表现为FA对应的热区出现脉络膜血管的高荧光。病史表现为渐进性视力下降,因此是否可以考虑是一个慢性的脉络膜病变导致的弥漫的色素上皮炎症。
C医生:从FFA看象典型的中浆的“冒烟”状改变,因此支持多发性中浆的诊断。
S医生:看到这个患者的眼底图,我想到在国外是常常见到一个眼底病,视网膜白点综合征。这是一类很广的疾病,国外比较多见。另外患者在广东,应该询问是否有野生动物的接触史,是否有特殊病毒感染的可能。
z教授:从眼底图看,患者的病变主要集中在双眼的后极部。表现为黄斑区下方的黄色病灶和白点状渗出,并没有明显的弥漫性色素增殖或脱失的表现。从FFA和ICGA的表现看的确是脉络膜和色素上皮层的病变,但不支持是一种色素上皮炎症性的改变。这个眼底造影的图像与我从前在一个色素上皮病变的书中看到的很象。待我回去再查一下相关文献。
待续……
 顶部
大侠 发表于: 2003/06/08 02:34am
个人认为可排除中浆,因ICG显示脉络膜病变明显,应属葡萄膜炎的范畴。
 顶部
huangdisk 发表于: 2003/06/09 06:28pm
谢谢各位同道,专家的支持,非常感谢!现代理论认为中浆的病变实际上是先来源于脉络膜,而后发展到色素上皮。在诊断上已有了几个意见,还希望更多的,治疗上有什么好建议?待续.......
 顶部
huangdisk 发表于: 2003/06/09 06:39pm
非常感谢各位同道,专家的大力支持!新的理论认为中浆病变先来源于脉络膜,而后发展到色素上皮。期待更多诊断及治疗上的意见......
 顶部
毛进 发表于: 2003/06/09 10:17pm
相关图片如下:
按此在新窗口浏览图片

1例特发性息肉状脉络膜血管病变的眼底图,说实话和你的病例不是太象。
 顶部
毛进 发表于: 2003/06/09 10:23pm
相关图片如下:
按此在新窗口浏览图片

ICG造影片
特发性息肉状脉络膜血管病变其独特的临床表现为:一是脉络膜分支血管网并末端瘤样扩张,二是新生血管网的明显的渗漏,导致视网膜神经上皮和视网膜色素上皮浆液性和出血性脱离。你们的患者没有眼底的出血。总的感觉不是这个诊断。
 顶部
毛进 发表于: 2003/06/12 09:47am
昨天Z教授谈了他的看法:
诊断:视网膜色素上皮失代偿 (Retinal Pigment Epithelium Decompensation)
1、患者年龄偏大,可追问病史是否以前(可在10余年前)是否患过中浆,或不明原因的视力下降然后自行好转。
2、患者眼底检查后极部表现轻,而FA检查有明显的渗漏,但没有中浆那样的明显的后极部隆起,而是色素改变为主。FA提示都广泛的色素上皮改变。
3、VF检查有对应于渗漏点的旁中心暗点
4、可做ERG、EOG检查,色素上皮失代偿通常都表现正常,借此与弥漫的色素上皮病变,例如RP等鉴别。
5、这种病多认为是由于慢性的中浆发展而来,目前没有特效治疗方法,多数视力会进行性恶化,10%的人会出现脉络膜新生血管膜。
治疗:激光封闭远离中央凹的渗漏点。
 顶部
huangdisk 发表于: 2003/06/12 11:40pm
非常感谢毛博和其他教授的热心支持及精辟见解!

眼科资讯录入:maojin    责任编辑:毛进 
  • 上一篇眼科资讯:

  • 下一篇眼科资讯:
  • 【字体: 】【发表评论】【加入收藏】【告诉好友】【打印此文】【关闭窗口
      网友评论:(只显示最新10条。评论内容只代表网友观点,与本站立场无关!)

    | 设为首页 | 加入收藏 | 联系站长 | 友情链接 | 版权申明 |
    眼科医生网 眼科医生网版权所有 @ 1998-2012
    部分文章和资源来源于网络,如果侵犯了您的版权,请指出! 站长:毛进
    信息产业部备案
    *京ICP备18030162号